Girisha Banavasi Shanmukha, Srinivas Teerthanath, Noronha Tonita Mariola, Alva Akshata C, Menon Ashok
Department of Dermatology, K S Hegde Medical Academy, Mangalore, Karnataka, India.
Indian J Dermatol. 2018 Jul-Aug;63(4):342-345. doi: 10.4103/ijd.IJD_393_16.
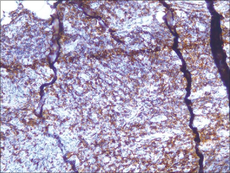
A lady presented with indolent slowly spreading erythematous nodule on the left external ear which on histopathology showed dense monomorphic lymphoid cells in the dermis. No epidermotropism or angioinvasion was seen. Immunohistochemistry showed that the infiltrating lymphoid cells were CD8+ but CD4-. Majority of the cases of cutaneous T-cell lymphomas have a CD4+, CD8- T-cell expression. Few cases have been reported with similar CD8-positive lymphoid proliferation with a curious ear tropism.