Suppr超能文献

聚苯乙烯磺酸钠诱发肠坏死;一例报告。

Sodium polystyrene sulfonate induced intestinal necrosis; a case report.

作者信息

Almulhim Abdulaziz Saleh, Hall Edina, Mershid Al Rehaili Bassam, Almulhim Abdulmuhsin Saleh

机构信息

King Faisal University, College of Clinical Pharmacy, Al Ahsa, Saudi Arabia.

University of Arizona, College of Pharmacy, Tucson, AZ, United States.

出版信息

Saudi Pharm J. 2018 Sep;26(6):771-774. doi: 10.1016/j.jsps.2018.04.008. Epub 2018 Apr 12.

Abstract

BACKGROUND

Hyperkalemia is a commonly encountered medical problem. The treatment of hyperkalemia involves the use of pharmacological agents with different mechanism of actions. Sodium Polystyrene sulfonate (SPS) is a cation-exchange resin that exchanges sodium for potassium. In 2009, the United States Food and Drug Administration issued warning against the use of SPS with sorbitol due to risk of colonic necrosis. We present a case of SPS induced colonic necrosis in the absence of sorbitol and risk factors deemed to increase risk of colonic necrosis.

CASE REPORT

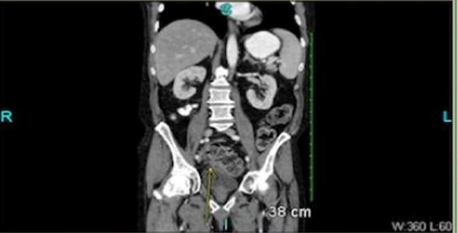
Here we report a 64-year old male with past medical history of kidney stones who was admitted for treatment of colitis which was complicated by septic shock requiring vasopressors. His course was further complicated by hyperkalemia attributed to acute kidney injury. One dose 30 gm of SPS was administered which normalized his serum potassium. The patient's course was complicated by duodenal ulcer, and colonic perforation. The initial pathology findings of the resected specimen were suggestive of inflammatory bowel disease which resulted in starting patient on mesalamine. The patient then developed fistula which was resected and sent for pathology. SPS induced colonic necrosis was made based on the pathology findings.

CONCLUSION

SPS is commonly used to decrease potassium levels. SPS has been reported to be associated with several gastrointestinal complications. FDA issued warning against the use of SPS in patients at risk for complications. Here we report a case with SPS induced colonic necrosis in the absence of risk factors reported in the literature.

摘要

背景

高钾血症是一个常见的医学问题。高钾血症的治疗涉及使用作用机制不同的药物。聚苯乙烯磺酸钠(SPS)是一种阳离子交换树脂,可将钠与钾进行交换。2009年,美国食品药品监督管理局因结肠坏死风险发布了关于SPS与山梨醇联合使用的警告。我们报告一例在不存在山梨醇及被认为会增加结肠坏死风险的危险因素的情况下,SPS导致结肠坏死的病例。

病例报告

在此我们报告一名64岁男性,既往有肾结石病史,因治疗并发感染性休克需使用血管加压药的结肠炎而入院。他的病情因急性肾损伤所致的高钾血症而进一步复杂化。给予一剂30克SPS后,其血清钾恢复正常。患者的病情因十二指肠溃疡和结肠穿孔而复杂化。切除标本的初步病理结果提示为炎症性肠病,这导致患者开始使用美沙拉嗪。患者随后出现瘘管,对其进行了切除并送检病理。根据病理结果诊断为SPS诱导的结肠坏死。

结论

SPS常用于降低血钾水平。据报道,SPS与多种胃肠道并发症相关。美国食品药品监督管理局已发布警告,提醒有并发症风险的患者不要使用SPS。在此我们报告一例在不存在文献中所报道的危险因素的情况下,SPS诱导结肠坏死的病例。

https://cdn.ncbi.nlm.nih.gov/pmc/blobs/5de0/6128719/90a68ef071c2/gr1.jpg

文献AI研究员

20分钟写一篇综述,助力文献阅读效率提升50倍。

立即体验

用中文搜PubMed

大模型驱动的PubMed中文搜索引擎

马上搜索

文档翻译

学术文献翻译模型,支持多种主流文档格式。

立即体验