Georgia Cancer Center, Department of Biochemistry and Molecular Biology, Medical College of Georgia , Augusta University , Augusta , Georgia 30912 , United States.
Department of Pediatrics Hematology , The First Hospital of Jilin University , Changchun 130021 , China.
Mol Pharm. 2018 Nov 5;15(11):4801-4813. doi: 10.1021/acs.molpharmaceut.8b00388. Epub 2018 Oct 1.
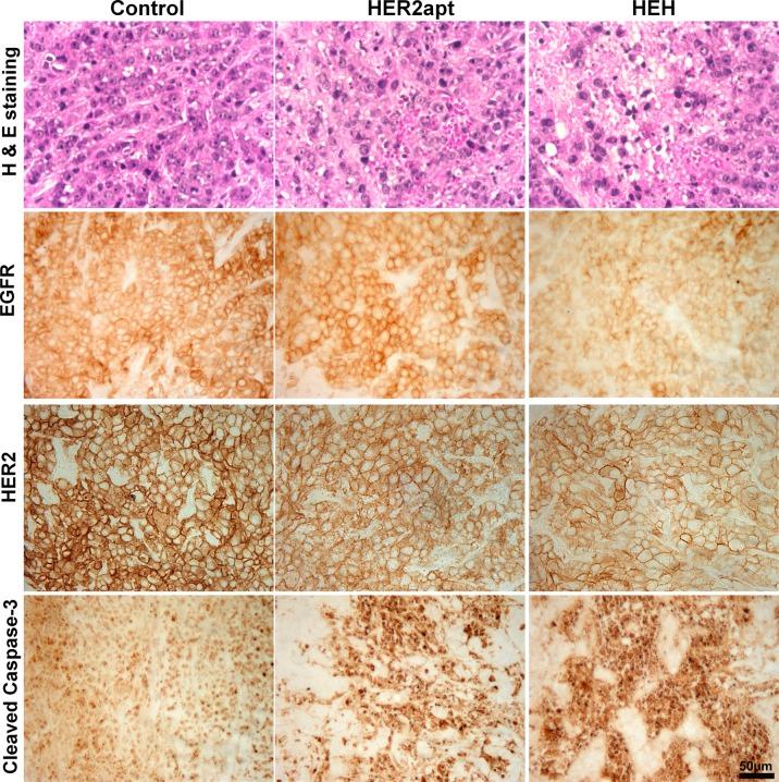
HER2 overexpression is identified on 20-30% breast cancer and other cancers at different levels. Although HER2 targeted monoclonal antibody combined with chemical drugs has shown improved outcomes in HER2 expressing patients, drug resistance and toxicity have limited their efficacy. To overcome drug resistance, cotargeting multiple HER receptors was proven to be effective. EGFR/HER2 dimerization can active PI3K/AKT pathway, and resistance to HER2-targeted drugs is associated with upregulation of EGFR. Here, we developed a novel HER2/EGFR targeted nucleic acid therapeutic to address current drug limits. The new therapeutic is constructed by fusing HER2 aptamer-EGFR siRNA sense strand with HER2 aptamer-EGFR siRNA antisense strand into one molecule: a bivalent HER2 aptamer-EGFR siRNA aptamer chimera (HEH). In breast cancer cell lines, HEH can be selectively taken up into HER2 expressing cells and successfully silence EGFR gene and down regulate HER2 expression. In breast cancer xenograft models, HEH is capable of triggering cell apoptosis, decreasing HER2 and EGFR expression, and suppressing tumor growth. The therapeutic efficacy of HEH is superior to HER2 aptamer only, which suggests that HEH has synergistic effect by targeting HER2 and EGFR. This study demonstrated that HEH has great potential as a new HER2 targeted drug to address toxicity and resistance of current drugs and may provide a cure for many HER2 positive cancers.
HER2 过表达在 20-30%的乳腺癌和其他癌症中存在不同程度的表达。虽然针对 HER2 的单克隆抗体与化疗药物联合使用已显示出在 HER2 表达患者中改善的疗效,但耐药性和毒性限制了其疗效。为了克服耐药性,靶向多个 HER 受体已被证明是有效的。EGFR/HER2 二聚化可激活 PI3K/AKT 通路,而对 HER2 靶向药物的耐药性与 EGFR 的上调有关。在这里,我们开发了一种新型的 HER2/EGFR 靶向核酸治疗方法来解决当前药物的局限性。这种新的治疗方法是通过将 HER2 适体-EGFR siRNA 正义链与 HER2 适体-EGFR siRNA 反义链融合到一个分子中构建而成的:一种双价 HER2 适体-EGFR siRNA 适体嵌合体(HEH)。在乳腺癌细胞系中,HEH 可以被选择性地摄取到 HER2 表达细胞中,并成功地沉默 EGFR 基因,下调 HER2 表达。在乳腺癌异种移植模型中,HEH 能够触发细胞凋亡,降低 HER2 和 EGFR 表达,抑制肿瘤生长。HEH 的治疗效果优于仅使用 HER2 适体,这表明 HEH 通过靶向 HER2 和 EGFR 具有协同作用。这项研究表明,HEH 具有作为一种新的 HER2 靶向药物的巨大潜力,可以解决当前药物的毒性和耐药性问题,可能为许多 HER2 阳性癌症提供治愈方法。