Suppr超能文献

L4-5节段双侧小关节脱位延迟性:一例报告。

Delayed bilateral facet dislocation at L4-5: A case report.

作者信息

Park Hyung-Youl, Ha Kee-Yong, Kim Young-Hoon, Kim Sang-Il, Min Hyung-Ki, Oh In-Soo, Seo Jun-Yeong, Chang Dong-Gune, Alhazmi Mohammed Ali, Cho Joon-Hyung

机构信息

Department of Orthopedic Surgery, Seoul St. Mary's Hospital, College of Medicine, The Catholic University of Korea, Seoul Department of Orthopedic Surgery, Incheon St. Mary's Hospital, College of Medicine, The Catholic University of Korea, Incheon Department of Orthopedic Surgery, Jeju National University Hospital, School of Medicine, Jeju National University, Jeju Department of Orthopedic Surgery, Sanggye Paik Hospital, College of Medicine, The Inje University, Seoul, Korea.

出版信息

Medicine (Baltimore). 2018 Sep;97(38):e12483. doi: 10.1097/MD.0000000000012483.

Abstract

RATIONALE

Traumatic bilateral facet dislocation in the lumbar (L) spine has rarely been reported. All reported cases were presented with acute facet dislocation. However, we present the first case of delayed bilateral facet dislocation at L4-5.

PATIENT CONCERNS

A 34-year-old woman presented with back pain after a head-on collision. The patient was treated conservatively for 3 months with rigid orthosis and activity restriction. Even after this conservative treatment, she continued to suffer from persistent back pain that radiated down her left leg and a progressively kyphotic posture.

DIAGNOSES

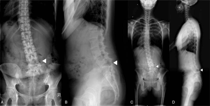
Initial imaging studies revealed a fracture of the left L5 superior articular process with a posterior ligament complex (PLC) injury. Subsequent radiographs showed the locked facet dislocation with kyphotic changes.

INTERVENTIONS

The patient underwent surgical reduction and fusion, and the operative findings revealed the L4-5 bilateral facet dislocation and rupture of the PLC at the index level.

OUTCOMES

After surgical reduction and fusion at L4-5 by posterior interbody fusion, we achieved a satisfactory clinical outcome.

LESSONS

Injury of the PLC in the lower lumbar region deserves careful attention for the development of sequelae. The anatomic transition from lordosis to kyphosis, in the lumbosacral region may be related to this type of injury.

摘要

原理

腰椎创伤性双侧小关节脱位鲜有报道。所有已报道病例均为急性小关节脱位。然而,我们报道了首例L4-5节段延迟性双侧小关节脱位病例。

患者情况

一名34岁女性在正面碰撞后出现背痛。患者接受了3个月的保守治疗,包括佩戴刚性矫形器和限制活动。即便经过这种保守治疗,她仍持续遭受下背部疼痛,并放射至左腿,且脊柱后凸姿势逐渐加重。

诊断

初始影像学检查显示L5左侧上关节突骨折伴后韧带复合体(PLC)损伤。随后的X线片显示小关节脱位并伴有脊柱后凸改变。

干预措施

患者接受了手术复位和融合,术中发现为L4-5双侧小关节脱位及相应节段PLC破裂。

结果

通过后路椎间融合术对L4-5进行手术复位和融合后,我们获得了满意的临床效果。

经验教训

下腰椎区域PLC损伤的后遗症发展值得密切关注。腰骶部从脊柱前凸到后凸的解剖学转变可能与这类损伤有关。

https://cdn.ncbi.nlm.nih.gov/pmc/blobs/e8b8/6160156/eb1c9f043aa7/medi-97-e12483-g002.jpg

文献AI研究员

20分钟写一篇综述,助力文献阅读效率提升50倍。

立即体验

用中文搜PubMed

大模型驱动的PubMed中文搜索引擎

马上搜索

文档翻译

学术文献翻译模型,支持多种主流文档格式。

立即体验