Suppr超能文献

肾小球损伤的新机制。髓过氧化物酶-过氧化氢-卤化物系统。

New mechanism for glomerular injury. Myeloperoxidase-hydrogen peroxide-halide system.

作者信息

Johnson R J, Couser W G, Chi E Y, Adler S, Klebanoff S J

出版信息

J Clin Invest. 1987 May;79(5):1379-87. doi: 10.1172/JCI112965.

Abstract

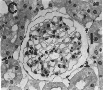
Reactive oxygen species, particularly hydrogen peroxide (H2O2), participate in neutrophil-mediated glomerulonephritis. However, the mechanism of H2O2 neptrotoxicity is unknown. Myeloperoxidase (MPO), a neutrophil cationic enzyme that localizes in glomeruli, can react with H2O2 and halides to form highly reactive products. We tested the hypothesis that the MPO-H2O2-halide system may induce glomerular injury by infusing MPO followed by H2O2 in a chloride-containing solution into the renal artery of rats. Controls received MPO or H2O2 alone. MPO-H2O2-perfused rats developed significant proteinuria, endothelial cell swelling, and epithelial cell foot process effacement, whereas control kidneys were normal. In the presence of free 125I, MPO-H2O2-perfused rats incorporated large amounts of 125I, localized to the glomerular basement membrane and mesangium by autoradiography, into glomeruli. Glomerular iodination was greatly decreased or absent in controls. The MPO-H2O2-halide system causes glomerular injury and may be important in neutrophil-mediated glomerulonephritis.

摘要

活性氧物质,尤其是过氧化氢(H2O2),参与中性粒细胞介导的肾小球肾炎。然而,H2O2肾毒性的机制尚不清楚。髓过氧化物酶(MPO)是一种定位于肾小球的中性粒细胞阳离子酶,可与H2O2和卤化物反应形成高活性产物。我们通过将MPO然后在含氯溶液中的H2O2注入大鼠肾动脉,来检验MPO-H2O2-卤化物系统可能诱导肾小球损伤的假说。对照组单独接受MPO或H2O2。接受MPO-H2O2灌注的大鼠出现显著蛋白尿、内皮细胞肿胀和上皮细胞足突消失,而对照肾脏正常。在游离125I存在的情况下,接受MPO-H2O2灌注的大鼠肾小球大量摄取125I,通过放射自显影定位到肾小球基底膜和系膜。对照组肾小球碘化作用大大降低或不存在。MPO-H2O2-卤化物系统导致肾小球损伤,可能在中性粒细胞介导的肾小球肾炎中起重要作用。

https://cdn.ncbi.nlm.nih.gov/pmc/blobs/0985/424393/6dc2b321c9dc/jcinvest00116-0099-a.jpg

文献AI研究员

20分钟写一篇综述,助力文献阅读效率提升50倍。

立即体验

用中文搜PubMed

大模型驱动的PubMed中文搜索引擎

马上搜索

文档翻译

学术文献翻译模型,支持多种主流文档格式。

立即体验