Vallim Frederico Coutinho de Moura, Cruz Henrique Abreu da, Rodrigues Ricardo Carneiro, Abreu Caroline Sandra Gomes de, Godoy Eduardo Duarte Pinto, Cunha Marcio Garcia
Serviço de Ortopedia Pediátrica, Hospital Estadual da Criança, Secretaria de Estado de Saúde (SES), Rio de Janeiro, RJ, Brazil.
Instituto Nacional de Traumatologia e Ortopedia (Into), Rio de Janeiro, RJ, Brazil.
Rev Bras Ortop. 2018 Oct 10;53(6):674-680. doi: 10.1016/j.rboe.2017.09.009. eCollection 2018 Nov-Dec.
To evaluate the clinical and radiologic results of proximal femoral varus derotational and shortening osteotomy (OVRF) (Port., doesn't match name) with the use of a locked plate in patients with cerebral palsy, classified by the gross motor functional classification system as class IV or V.
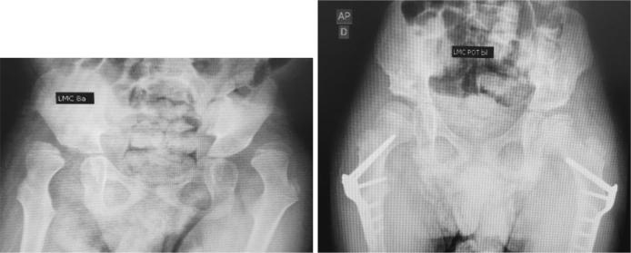
A retrospective study of 42 patients (61 hips) with cerebral palsy, gross motor functional classification system class IV or V, submitted to OVRF. The minimal follow up was 24 months. This study evaluated clinical (age at surgery, gender, Gross Motor Functional Classification System class, anatomical cerebral palsy classification, and motor pattern), pre- and post-operative radiological (neck shaft angle, acetabular index, Reimers migration index and time until bone healing) characteristics, as well as post-operative complications.
Mean pre-operative cervicodiaphyseal angle, acetabular index, and Reimers migration index were respectively 121.6°, 22.7°, and 65.4% in uncomplicated cases, and 154.7°, 20.4°, and 81.1% in complicated ones. All parameters were statistically significant difference between pre- and postoperative values ( < 0.05). The patients with postoperative complications had a greater cervicodiaphyseal angle and Reimers migration index ( < 0.0001). There were no differences in clinical characteristics, time of immobilization, or bone healing. Fourteen patients had postoperative complications (33.3%), but only six required surgical treatment.
The locked plate is a safe resource, with low complication rates and reproducible technique for OVRF in the cerebral palsy population classified as gross motor functional classification system IV and V. Greater cervicodiaphyseal angles and Reimers migration index are associated with greater chances of postoperative complications, as well as gross motor functional classification system V classification.
评估采用锁定钢板的股骨近端内翻旋转短缩截骨术(OVRF)(葡萄牙语,名称不匹配)治疗按粗大运动功能分类系统分类为IV级或V级的脑瘫患者的临床和放射学结果。
对42例(61髋)按粗大运动功能分类系统分类为IV级或V级且接受OVRF治疗的脑瘫患者进行回顾性研究。最小随访时间为24个月。本研究评估了临床特征(手术年龄、性别、粗大运动功能分类系统分级、解剖学脑瘫分类和运动模式)、术前和术后放射学特征(颈干角、髋臼指数、赖默斯移位指数和骨愈合时间)以及术后并发症。
在无并发症的病例中,术前平均颈干角、髋臼指数和赖默斯移位指数分别为121.6°、22.7°和65.4%,在有并发症的病例中分别为154.7°、20.4°和81.1%。所有参数术前和术后值之间均有统计学显著差异(P<0.05)。有术后并发症的患者颈干角和赖默斯移位指数更大(P<0.0001)。临床特征、固定时间或骨愈合方面无差异。14例患者有术后并发症(33.3%),但仅6例需要手术治疗。
对于按粗大运动功能分类系统分类为IV级和V级的脑瘫患者,锁定钢板是一种安全的方法,并发症发生率低且OVRF技术可重复。更大的颈干角和赖默斯移位指数以及粗大运动功能分类系统V级与术后并发症的可能性增加相关。