Suppr超能文献

针刺继发创伤性气胸

Traumatic Pneumothorax Secondary to Acupuncture Needling.

作者信息

Sia Ching-Hui, Leow Aloysius Sheng-Ting, Leong Benjamin Sieu-Hon

机构信息

Department of Cardiology, National University Health System, Singapore, Singapore, SGP.

Yong Loo Lin School of Medicine, Singapore, SGP.

出版信息

Cureus. 2018 Aug 23;10(8):e3194. doi: 10.7759/cureus.3194.

Abstract

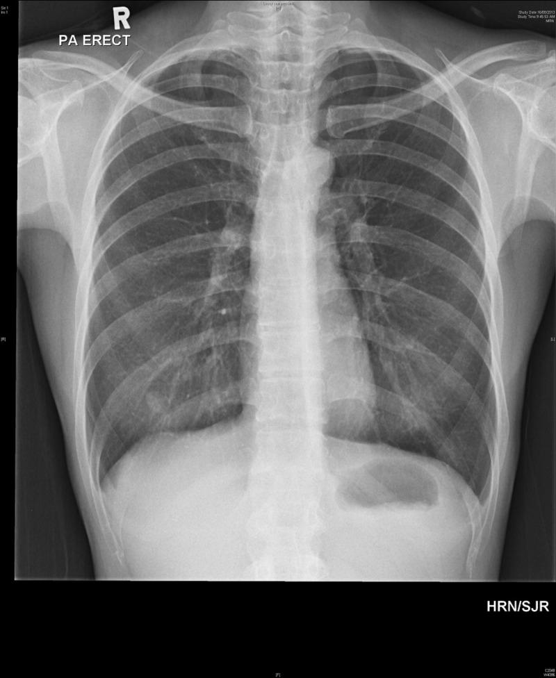
Acupuncture is a common form of therapy involving insertion of fine needles to alleviate nausea and various forms of pain. We describe a case of pneumothorax secondary to acupuncture. A 50-year-old woman presented to the emergency department with right-sided pleuritic chest pain. This was following a history of acupuncture and cupping treatment an hour earlier at a traditional practitioner for long-standing neck pain. On physical examination, the respiratory rate was 22 breaths per minute and her oxygen saturation was 100% on room air. Breath sounds were decreased on the right hemithorax with hyper resonance to percussion. Inspection of her back revealed multiple needling and cupping marks. A chest radiograph revealed a right-sided pneumothorax with an apex-cupola distance of 3.6 cm. She was put on high flow oxygen and a chest tube was inserted into the right chest wall. The patient was admitted. She had radiographic resolution of the pneumothorax four days later and was discharged uneventfully. Follow-up one week later in the clinic showed no radiographic recurrence of the pneumothorax.

摘要

针灸是一种常见的治疗方法,通过插入细针来缓解恶心和各种疼痛。我们描述了一例因针灸导致气胸的病例。一名50岁女性因右侧胸膜炎性胸痛被送往急诊科。这是在一小时前于一名传统医生处接受针灸和拔罐治疗以缓解长期颈部疼痛之后出现的。体格检查时,呼吸频率为每分钟22次,在室内空气中氧饱和度为100%。右侧胸廓呼吸音减弱,叩诊呈过清音。检查其背部发现多处针刺和拔罐痕迹。胸部X线片显示右侧气胸,尖 - 圆顶距离为3.6厘米。她接受了高流量吸氧,并在右胸壁插入了胸管。患者入院。四天后气胸在影像学上得到缓解,顺利出院。一周后在诊所随访显示气胸无影像学复发。

https://cdn.ncbi.nlm.nih.gov/pmc/blobs/9462/6200444/deafd32c4d93/cureus-0010-00000003194-i01.jpg

文献AI研究员

20分钟写一篇综述,助力文献阅读效率提升50倍。

立即体验

用中文搜PubMed

大模型驱动的PubMed中文搜索引擎

马上搜索

文档翻译

学术文献翻译模型,支持多种主流文档格式。

立即体验