Pugh Robert, Wessel Bryan, Barve Ashutosh, Vyleta Martin S
University of Louisville, Department of Radiology, Louisville, KY 40202, USA.
Radiol Case Rep. 2018 Dec 4;14(3):299-303. doi: 10.1016/j.radcr.2018.11.011. eCollection 2019 Mar.
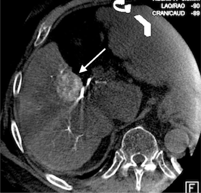
Severe reactions to modern iodinated contrasts are uncommon. Breakthrough reactions in the setting of pretreatment with corticosteroids are even rarer. Patients with a history of these refractory reactions can create challenging situations in the diagnostic and therapeutic process. Here, we present a case of an 83-year-old male with hepatocellular carcinoma and a history of multiple severe reactions to iodinated contrast. The patient required a transarterial chemoembolization but the conventional technique was unavailable due to the allergy. Gadolinium-based contrast was substituted and used in conjunction with C-arm CT and a percutaneous ethanol injection to treat the tumor. After nearly 3 years, there is no evidence of residual or recurrent hepatocellular carcinoma.
对现代碘化造影剂的严重反应并不常见。在使用皮质类固醇进行预处理的情况下出现的突破性反应更为罕见。有这些难治性反应病史的患者在诊断和治疗过程中会造成具有挑战性的情况。在此,我们报告一例83岁男性肝细胞癌患者,有多次对碘化造影剂严重反应的病史。患者需要进行经动脉化疗栓塞,但由于过敏无法采用传统技术。于是改用钆基造影剂,并结合C形臂CT和经皮乙醇注射来治疗肿瘤。近3年后,没有证据表明存在残留或复发性肝细胞癌。