Suppr超能文献

具有EGFR基因罕见外显子7 p.A289V突变的非小细胞肺癌对埃克替尼治疗有反应:一例报告。

Nonsmall cell lung cancer with rare exon 7 p.A289V mutation in the EGFR gene responds to Icotinib treatment: A case report.

作者信息

Dai Limeng, Su Xuejiao, Lu Lin, Lv Donglai

机构信息

Department of Medical Genetics.

Fifth Brigade 16th Team, College of Basic Medical Science, Army Medical University (Third Military Medical University), Chongqing.

出版信息

Medicine (Baltimore). 2018 Dec;97(51):e13809. doi: 10.1097/MD.0000000000013809.

Abstract

RATIONALE

Mutation p.A289V involving extracellular region of epidermal growth factor receptor (EGFR) exon 7 has not yet been reported in nonsmall cell lung cancer (NSCLC). Studies have shown p.A289V mutation responding to tyrosine kinase inhibitors (TKIs) in glioblastoma cell lines suggesting the point mutation as a potential therapeutic target. However, sufficient evidence of the effect of TKI treatment on the p.A289V mutation involved in NSCLC is not available.

PATIENT CONCERNS

An 80-year-old nonsmoker male with lung mass was suffering from severe bone pain.

DIAGNOSIS

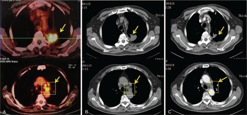
Needle biopsy and positron emitted tomography/computed tomography were performed. The patient was diagnosed with advanced NSCLC adenocarcinoma with bone and lymphatic metastasis. Next-generation sequencing of circulating tumor DNA was performed, which identified a p.A289V mutation in the EGFR gene of the patient.

INTERVENTIONS

Our patient refused to receive chemotherapy and tried Icotinib treatment.

OUTCOMES

Our patient had a partial response to Icotinib after treatment for 5 months during the therapeutic trial by TKIs. The patient showed adverse symptoms of mild diarrhea and rash (Common Terminology Criteria for Adverse Events grade 1) during the treatment.

LESSONS

In this case, Icotinib prevented completion of the signal transduction cascade of p.A289V mutant in NSCLC. Our finding may expand the EGFR mutation spectrum for TKI treatment in NSCLC. However, the finding needs to be confirmed at a larger scale with NSCLC in Chinese and other populations.

摘要

原理

表皮生长因子受体(EGFR)外显子7细胞外区域的p.A289V突变在非小细胞肺癌(NSCLC)中尚未见报道。研究表明,胶质母细胞瘤细胞系中p.A289V突变对酪氨酸激酶抑制剂(TKIs)有反应,提示该点突变是一个潜在的治疗靶点。然而,关于TKI治疗对NSCLC中涉及的p.A289V突变影响的充分证据尚不明确。

患者情况

一名80岁的不吸烟男性,肺部有肿块,伴有严重骨痛。

诊断

进行了穿刺活检和正电子发射断层扫描/计算机断层扫描。患者被诊断为晚期NSCLC腺癌伴骨和淋巴结转移。对循环肿瘤DNA进行了二代测序,结果显示患者的EGFR基因存在p.A289V突变。

干预措施

我们的患者拒绝接受化疗,尝试使用埃克替尼治疗。

结果

在TKIs治疗试验中,患者接受埃克替尼治疗5个月后出现部分缓解。治疗期间,患者出现轻度腹泻和皮疹的不良症状(不良事件通用术语标准1级)。

经验教训

在本病例中,埃克替尼阻止了NSCLC中p.A289V突变体信号转导级联的完成。我们的发现可能会扩大NSCLC中TKI治疗的EGFR突变谱。然而,这一发现需要在中国和其他人群的更大规模NSCLC研究中得到证实。

https://cdn.ncbi.nlm.nih.gov/pmc/blobs/4917/6319919/7439c7bbc382/medi-97-e13809-g001.jpg

文献AI研究员

20分钟写一篇综述,助力文献阅读效率提升50倍。

立即体验

用中文搜PubMed

大模型驱动的PubMed中文搜索引擎

马上搜索

文档翻译

学术文献翻译模型,支持多种主流文档格式。

立即体验