Peng Mengfan, Miao Mingsan, Wang Tan, Liu Dandan
College of Pharmacy, Henan University of Chinese Medicine, Zhengzhou 450046, China.
Saudi J Biol Sci. 2018 Dec;25(8):1806-1811. doi: 10.1016/j.sjbs.2018.07.003. Epub 2018 Jul 9.
To investigate the effect of syrup on bronchial asthma mice model.
Sixty Kunming mice were randomly divided into normal control group, bronchial asthma model group, low-, middle-, and high-dose syrup groups. Bronchial asthma was induced by injection of ovalbumin combined smoking. Two hours after the last administration, the change of lung function were observed, the contents of NO, IL-6 in serum were detected, the morphological changes of lung and bronchial were also observed, so as to explore the effect of syrup on bronchial asthma mice.
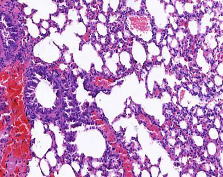
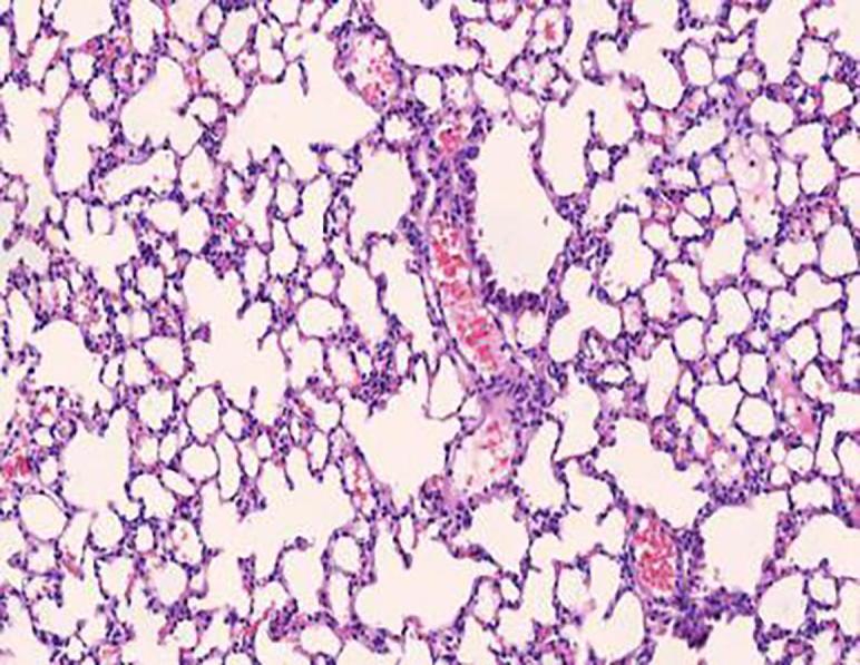
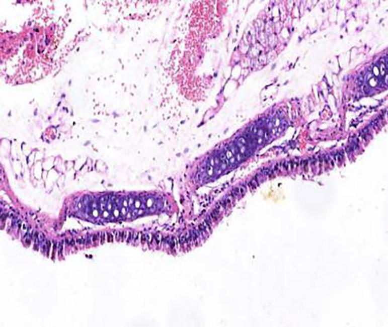
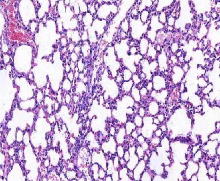
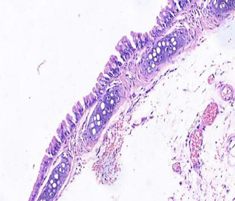
Compared with model group, the Schisandrae Fructus syrup groups can significantly increase the tidal volume of mice and decrease the respiratory frequency and the degree of bronchial stenosis ( < 0.01); The Schisandrae Fructus syrup groups can decrease the levels of NO and IL-6 in serum and improve the pathological changes of lung and bronchus in different degrees.
syrup can significantly improve the biochemical indexes and pathological status of mice with bronchial asthma.
探讨[具体药物名称]糖浆对支气管哮喘小鼠模型的影响。
将60只昆明小鼠随机分为正常对照组、支气管哮喘模型组、低、中、高剂量[具体药物名称]糖浆组。通过注射卵清蛋白联合烟熏诱导支气管哮喘。末次给药2小时后,观察肺功能变化,检测血清中NO、IL-6含量,观察肺及支气管的形态学变化,以探讨[具体药物名称]糖浆对支气管哮喘小鼠的作用。
与模型组相比,五味子糖浆组可显著增加小鼠潮气量,降低呼吸频率及支气管狭窄程度(P<0.01);五味子糖浆组可降低血清中NO和IL-6水平,不同程度改善肺及支气管的病理变化。
[具体药物名称]糖浆可显著改善支气管哮喘小鼠的生化指标及病理状态。