Suppr超能文献

一名携带BRCA2基因突变患者的胰腺腺鳞癌:病例报告

Adenosquamous Carcinoma of the Pancreas in a Patient with BRCA2 Mutation: A Case Report.

作者信息

Yeung Vincent, Palmer Joshua D, Williams Noelle, Weinstein Jonathan C, Fortuna Danielle, Sama Ashwin, Winter Jordan, Bar-Ad Voichita

机构信息

Department of Radiation Oncology, Sidney Kimmel Cancer Center, Sidney Kimmel Medical College, Thomas Jefferson University, Philadelphia, Pennsylvania.

Department of Radiology, Thomas Jefferson University Hospital, Philadelphia, Pennsylvania.

出版信息

Case Rep Pancreat Cancer. 2015 Nov 1;1(1):22-25. doi: 10.1089/crpc.2015.29003.vye. eCollection 2015.

Abstract

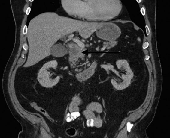
Pancreatic adenosquamous carcinoma (ASC) is an uncommon subtype of pancreatic neoplasm, representing 1-4% of all pancreatic cancers. Given the rarity of this tumor, there is no well-established standard of care regarding treatment. We present the case of a BRCA2-deficient patient who responded tremendously well to a combination of gemcitabine and cisplatin therapy. A 66-year-old Caucasian man presented with a 2-week duration of progressively worsening clay-colored stools, tea-colored urine, and jaundice. Computed tomography scan of the abdomen revealed a 4-cm mass at the head of the pancreas. Preoperative carbohydrate antigen (CA) 19-9 was 255 U/mL (normal <37 U/mL). The patient underwent an uncomplicated pylorus-preserving pancreaticoduodenectomy with pathology revealing 11/12 positive lymph nodes, positive resection margins, perineural invasion, lymphovascular invasion, and positive disease in two distant perihepatic lymph nodes. The patient received one cycle of combination of gemcitabine and abraxane, was subsequently found to be BRCA2 deficient, and completed five cycles of gemcitabine and cisplatin thereafter. CA 19-9 before chemotherapy was 203 U/mL. Postchemotherapy CA 19-9 was 13 U/mL. As of today, the patient continues to do well 22 months postresection without radiographical or gross evidence of disease. Gemcitabine in combination with a platinum agent shows promise in the treatment of pancreatic ASC, particularly in setting of BRCA2 deficiency.

摘要

胰腺腺鳞癌(ASC)是一种罕见的胰腺肿瘤亚型,占所有胰腺癌的1%-4%。鉴于这种肿瘤的罕见性,目前尚无成熟的治疗标准。我们报告一例BRCA2基因缺陷患者,其对吉西他滨和顺铂联合治疗反应良好。一名66岁的白人男性,出现持续2周的进行性加重的陶土样便、茶色尿和黄疸。腹部计算机断层扫描显示胰腺头部有一个4厘米的肿块。术前糖类抗原(CA)19-9为255 U/mL(正常<37 U/mL)。患者接受了保留幽门的胰十二指肠切除术,手术顺利,病理显示12个淋巴结中有11个阳性,切缘阳性,存在神经周围侵犯、淋巴管侵犯,且两个远处肝周淋巴结有疾病阳性。患者接受了一个周期的吉西他滨和白蛋白结合型紫杉醇联合治疗,随后发现BRCA2基因缺陷,此后完成了五个周期的吉西他滨和顺铂治疗。化疗前CA 19-9为203 U/mL。化疗后CA 19-9为13 U/mL。截至目前,患者在切除术后22个月情况良好,无影像学或肉眼可见的疾病证据。吉西他滨与铂类药物联合在胰腺ASC的治疗中显示出前景,尤其是在BRCA2基因缺陷的情况下。

https://cdn.ncbi.nlm.nih.gov/pmc/blobs/390c/6319674/14a0cef228d7/fig-1.jpg

文献AI研究员

20分钟写一篇综述,助力文献阅读效率提升50倍。

立即体验

用中文搜PubMed

大模型驱动的PubMed中文搜索引擎

马上搜索

文档翻译

学术文献翻译模型,支持多种主流文档格式。

立即体验