Center for Medical Genetics Ghent, Ghent University and Ghent University Hospital, Ghent, Belgium.
Department of Ophthalmology, Ghent University Hospital, Ghent, Belgium.
Hum Mutat. 2019 May;40(5):539-551. doi: 10.1002/humu.23713. Epub 2019 Feb 6.
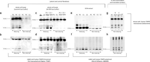
Sorsby fundus dystrophy (SFD) is a macular degeneration caused by mutations in TIMP3, the majority of which introduce a novel cysteine. However, the exact molecular mechanisms underlying SFD remain unknown. We aimed to provide novel insights into the functional consequences of a distinct N-terminal mutation. Haplotype reconstruction in three SFD families revealed that the identified c.113C>G, p.(Ser38Cys) mutation is a founder in Belgian and northern French families with a late-onset SFD phenotype. Functional consequences of the p.(Ser38Cys) mutation were investigated by high-resolution Western blot analysis of wild type and mutant TIMP3 using patient fibroblasts and in vitro generated proteins, and by molecular modeling of TIMP3 and its interaction partners. We could not confirm a previous hypothesis on dimerization of mutant TIMP3 proteins. However, we identified aberrant intramolecular disulfide bonding. Our data provide evidence for disruption of the established Cys36-Cys143 disulfide bond and formation of a novel Cys36-Cys38 bond, possibly associated with increased glycosylation of the protein. In conclusion, we propose a novel pathogenetic mechanism underlying the p.(Ser38Cys) TIMP3 founder mutation involving intramolecular disulfide bonding. These results provide new insights into the pathogenesis of SFD and other retinopathies linked to mutations in TIMP3, such as age-related macular degeneration.
Sorsby 眼底营养不良(SFD)是一种由 TIMP3 基因突变引起的黄斑变性,其中大多数突变为新的半胱氨酸。然而,SFD 的确切分子机制尚不清楚。我们旨在为一种独特的 N 端突变的功能后果提供新的见解。在三个 SFD 家族中的单体型重建表明,鉴定的 c.113C>G,p.(Ser38Cys)突变是比利时和法国北部具有晚发性 SFD 表型的家族中的一个创始突变。通过使用患者成纤维细胞和体外生成的蛋白质对野生型和突变型 TIMP3 进行高分辨率 Western blot 分析,以及对 TIMP3 及其相互作用伙伴进行分子建模,研究了 p.(Ser38Cys)突变的功能后果。我们无法证实先前关于突变型 TIMP3 蛋白二聚化的假设。然而,我们发现了异常的分子内二硫键结合。我们的数据为破坏既定的 Cys36-Cys143 二硫键和形成新的 Cys36-Cys38 键提供了证据,这可能与蛋白质的过度糖基化有关。总之,我们提出了一种新的致病机制,涉及 p.(Ser38Cys)TIMP3 启动子突变的分子内二硫键结合。这些结果为 SFD 和其他与 TIMP3 突变相关的视网膜病变(如年龄相关性黄斑变性)的发病机制提供了新的见解。