Seghrouchni Mohammed, Bollo Enrico, Piro Mohamed, Alyakine Hassan, Bouayad Hassan, Chakir Jamal, Azrib Rahma, Allali Khalid El
Hassan II Institute of Agronomy and Veterinary, Veterinary University Hospital, Rabat, Morocco.
Department of Veterinary Science, University of Torino, Turin, Italy.
Front Vet Sci. 2019 Jan 8;5:328. doi: 10.3389/fvets.2018.00328. eCollection 2018.
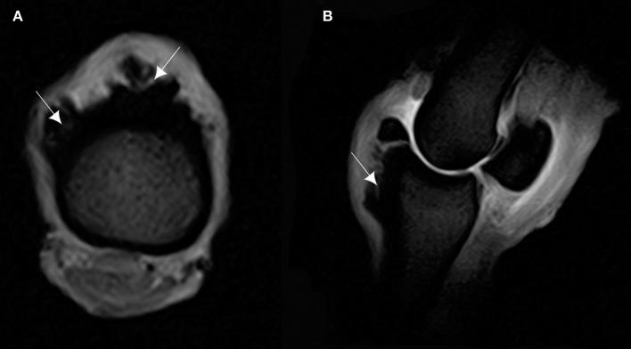
This study aimed at describing anatomo-histopathological and imaging features, using computed tomography and magnetic resonance imaging on six forelimbs of Tbourida horses, that presented a particular bone exostosis on the dorsal and proximal part of the first phalanx, diagnosed by X-ray. Gross anatomy of the bone exostosis revealed an irregular surface with poly-lobulated tissue masses showing a cauliflower shape. The diameter/depth varied from 0.5 to 5.1 cm with a mean of 3.9 ± 0.9 cm. The capsule of the metacarpophalangeal joint was hypertrophic and showed many invaginations in the inner part, in contact with the bone exostosis. Computed tomography revealed cortical and medullary continuity of the bone exostosis, with the underlying bone, and remodeling of the cortical surface of the dorsal and proximal part of the first phalanx. Magnetic resonance imaging showed an increased signal intensity of the bone exostosis on the T1- and T2-weighted gradient fast echo. Histological examination of the bone exostosis revealed a cap of hyaline cartilage, including large foci of endochondral ossification with a base of cancellous bone surrounding marrow spaces, which confirmed the diagnosis of osteochondroma. The capsule of the metacarpophalangeal joint showed a large amount of recently formed connective tissue fibers in its inner part, interspersed with mature connective tissue. The hyperextension of the metacarpophalangeal joint during a Tbourida show, which occurs on a hard ground surface, and the use of hobbles in horse stabling are most likely responsible for the outgrowth of an osteochondroma of different shapes and sizes, and fracture complications in some cases.
本研究旨在描述6匹图里达马前肢的解剖组织病理学和影像学特征,这些马的第一指骨背侧和近端出现了一种特殊的骨外生骨疣,通过X线诊断。骨外生骨疣的大体解剖显示其表面不规则,有多个分叶状组织块,呈菜花状。直径/深度在0.5至5.1厘米之间,平均为3.9±0.9厘米。掌指关节的关节囊肥厚,内部有许多内陷,与骨外生骨疣接触。计算机断层扫描显示骨外生骨疣与下方骨骼的皮质和髓质连续,第一指骨背侧和近端的皮质表面有重塑。磁共振成像显示在T1加权和T2加权梯度快速回波上骨外生骨疣的信号强度增加。骨外生骨疣的组织学检查显示有一层透明软骨帽,包括大量软骨内成骨灶,其底部为围绕骨髓腔的松质骨,这证实了骨软骨瘤的诊断。掌指关节的关节囊内部有大量新形成的结缔组织纤维,夹杂着成熟的结缔组织。图里达马表演期间在坚硬地面上发生的掌指关节过度伸展以及马厩中使用缰绳极有可能导致不同形状和大小的骨软骨瘤长出,在某些情况下还会引发骨折并发症。