Xiao Yang, Zhao Juan, Wu Hong, Xie Kun-Lin, Wan Ying, Xu Xue-Wen, Zhang Yan-Ge
Department of Plastic and Burn Surgery, West China Hospital of Sichuan University, Chengdu 610041, Sichuan Province, China.
Kun-lin Xie, Department of Liver Surgery/Liver Transplantation, West China Hospital of Sichuan University, Chengdu 610041, Sichuan Province, China.
World J Clin Cases. 2019 Jan 26;7(2):253-259. doi: 10.12998/wjcc.v7.i2.253.
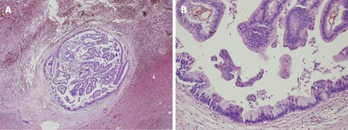
Biliary papillomatosis (BP) is a rare disease characterized by multiple papillary adenomas in the intrahepatic and extrahepatic biliary tree and has a high risk of malignant transformation. Early diagnosis and treatment for BP are challenges, as it spreads along the biliary tract. A radical resection with an adequate resection margin is advocated in patients with malignant BP.
We report a case of BP with malignant transformation in a 52-year-old female patient who presented with emaciation, severe malnutrition, and a T-tube for biliary drainage that was placed for almost 2 years at the time she visited us. The enhanced magnetic resonance imaging of the upper abdomen revealed a neoplasm with a diameter of 15 cm located in the gallbladder area surrounding the common bile duct where a drainage tube was placed. It was the first case with malignant BP involving multiple organs and the abdominal wall and receiving a radical resection. Plastic surgeons helped close the incision by transferring the rectus muscle and external oblique muscle flap. A diagnosis of papillary carcinoma with diffuse malignant papillomatosis of the biliary duct was given. The postoperative course was uneventful and she was asymptomatic and in good physical condition at 35 mo postoperatively with appropriate chemotherapy.
Aggressive surgical treatment with appropriate chemotherapy is advocated for patients with malignant BP even if multiple organ invasion is present.
胆管乳头状瘤病(BP)是一种罕见疾病,其特征为肝内和肝外胆管树出现多个乳头状腺瘤,且具有较高的恶变风险。由于BP沿胆道扩散,因此早期诊断和治疗颇具挑战。对于恶变的BP患者,主张进行具有足够切缘的根治性切除。
我们报告一例52岁女性BP恶变患者,该患者就诊时消瘦、严重营养不良,且已放置T管进行胆道引流近2年。上腹部增强磁共振成像显示,在放置引流管的胆总管周围胆囊区域有一个直径15 cm的肿瘤。这是首例累及多器官及腹壁且接受根治性切除的恶变BP病例。整形外科医生通过转移腹直肌和腹外斜肌皮瓣帮助关闭切口。诊断为胆管弥漫性恶性乳头状瘤病伴乳头状癌。术后过程顺利,术后35个月时,经适当化疗,她无症状且身体状况良好。
对于恶变的BP患者,即使存在多器官侵犯,也主张积极进行手术治疗并给予适当化疗。