Suppr超能文献

131I治疗半侧发育不全Graves病患者的病例报告

A case report of 131I therapy for Graves' disease patient with hemiagenesis.

作者信息

Liu Xuehui, Zhang Jianping, Meng Zhaowei, Yu Hongxu, Gao Zhimin, Li Hongjun, Liu Na

机构信息

Department of Nuclear Medicine, Third Central Hospital of Tianjin, Tianjin Institute of Hepatobiliary Disease, Tianjin Key Laboratory of Artificial Cell, Artificial Cell Engineering Technology Research Center of Public Health Ministry.

Department of Nuclear Medicine, Tianjin Medical University General Hospital, Tianjin, P.R. China.

出版信息

Medicine (Baltimore). 2019 Feb;98(8):e14606. doi: 10.1097/MD.0000000000014606.

Abstract

RATIONALE

Thyroid hemiagenesis is a rare congenital dysplasia, whereas a variety of pathological changes may occur in residual thyroid lobe. The most frequently described pathology in residual thyroid lobe is Graves' hyperthyroidism. Although I therapy has been generally recommended as the preferred treatment for Graves' disease (GD), subjects relating to hemiagenesis are very limited, especially in China.

PATIENT CONCERNS

A 43-year-old female patient presented to our hospital on November 2014, with a 1-year history of palpitation, fatigue, and hand tremor. Her situation was getting worse within 2 months.

DIAGNOSIS

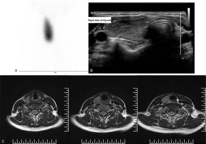
The thyroid function tests were suggestive of thyrotoxicosis. The technetium thyroid scintigraphy only showed an enlarged right lobe with increased tracer uptake. Then, the agenesis of left lobe and isthmus was confirmed by ultrasound and magnetic resonance imaging (MRI). Thus, a diagnosis of GD with hemiageneis of the left lobe and isthmus of thyroid was made.

INTERVENTIONS

Thiamazole was discontinued because of drug-induced hepatic injury. According to our procedures, the patient was treated by I.

OUTCOMES

Hypothyroidism was observed 3 months after I therapy. After replacement therapy with L-thyroxine (LT4), the state of euthyroid maintained.

LESSONS

Once hypothyroidism occurs, regular application of LT4 and review of thyroid function is very important. Thus, patients' compliance needs to be strengthened. Besides, we could not convince the family members of our patient to undergo ultrasonographic examination. The genetic factor of the agenesis could not be proved in this case.

摘要

理论依据

甲状腺半侧发育不全是一种罕见的先天性发育异常,而残留甲状腺叶可能会发生多种病理变化。残留甲状腺叶中最常描述的病理情况是格雷夫斯甲亢。尽管一般推荐碘-131治疗作为格雷夫斯病(GD)的首选治疗方法,但与半侧发育不全相关的病例非常有限,尤其是在中国。

患者情况

一名43岁女性患者于2014年11月就诊于我院,有1年心悸、乏力和手部震颤病史。在2个月内她的病情加重。

诊断

甲状腺功能检查提示甲状腺毒症。甲状腺锝显像仅显示右叶增大且放射性摄取增加。随后,通过超声和磁共振成像(MRI)证实左叶和峡部缺如。因此,诊断为左叶及甲状腺峡部半侧发育不全的GD。

干预措施

因药物性肝损伤停用甲巯咪唑。根据我们的流程,该患者接受了碘-131治疗。

结果

碘-131治疗3个月后出现甲状腺功能减退。在用左甲状腺素(LT4)替代治疗后,甲状腺功能正常状态得以维持。

经验教训

一旦发生甲状腺功能减退,定期应用LT4并复查甲状腺功能非常重要。因此,需要加强患者的依从性。此外,我们无法说服患者家属接受超声检查。在本病例中无法证实发育不全的遗传因素。

https://cdn.ncbi.nlm.nih.gov/pmc/blobs/694a/6408000/b354e2651588/medi-98-e14606-g001.jpg

文献AI研究员

20分钟写一篇综述,助力文献阅读效率提升50倍。

立即体验

用中文搜PubMed

大模型驱动的PubMed中文搜索引擎

马上搜索

文档翻译

学术文献翻译模型,支持多种主流文档格式。

立即体验