Suppr超能文献

由病毒性乙型肝炎引发的具有肾意义的单克隆丙种球蛋白病

Monoclonal Gammopathy of Renal Significance Triggered by Viral E Hepatitis.

作者信息

Agrawal P, Kumar V, Kumar A, Sachdeva M U S, Malhotra P, Nada R

机构信息

Department of Histopathology, Postgraduate Institute of Medical Education and Research, Chandigarh, India.

Department of Nephrology, Postgraduate Institute of Medical Education and Research, Chandigarh, India.

出版信息

Indian J Nephrol. 2019 Jan-Feb;29(1):50-52. doi: 10.4103/ijn.IJN_417_17.

Abstract

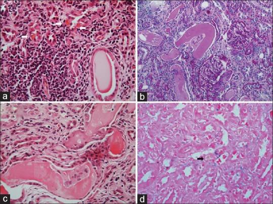
Monoclonal gammopathy of undetermined significance does not have end organ damage, but a proportion of cases manifest with renal injury when it is called monoclonal gammopathy of renal significance (MGRS). Herein, we describe a case of acute hepatitis E infection, which precipitated the development of MGRS. The patient underwent kidney biopsy for elevated creatinine with clinical suspicion of drug-induced interstitial nephritis. On light microscopy, there were periodic acid-Schiff negative-fractured casts in tubules with giant cell reaction around them. The tubular epithelial cells showed intracytoplasmic bile pigment. On direct immunofluorescence, casts showed kappa restriction. A diagnosis of bilirubin proximal tubulopathy and light chain cast nephropathy was made, and possibility of myeloma was suggested. On further evaluation, κ:λ ratio was 27, β2 microglobulin was 8036 ng/ml, and bone marrow examination showed 5% plasma cells. There were no bony lesions, and serum calcium was 8.6 mg/dl. The present case is unique in two aspects. First, the patient developed MGRS triggered by acute hepatitis E in less than a month. Second, the MGRS lesion was manifested in the form of light chain cast nephropathy.

摘要

意义未明的单克隆丙种球蛋白病没有终末器官损害,但当一部分病例出现肾损伤时,就被称为具有肾意义的单克隆丙种球蛋白病(MGRS)。在此,我们描述一例急性戊型肝炎感染引发MGRS的病例。该患者因肌酐升高接受肾活检,临床怀疑为药物性间质性肾炎。光镜下,肾小管内有高碘酸希夫染色阴性的断裂管型,周围有巨细胞反应。肾小管上皮细胞显示胞浆内有胆汁色素。直接免疫荧光检查显示管型有κ轻链限制。诊断为胆红素近端肾小管病和轻链管型肾病,并提示有骨髓瘤的可能性。进一步评估显示,κ:λ比值为27,β2微球蛋白为8036 ng/ml,骨髓检查显示浆细胞占5%。无骨病变,血清钙为8.6 mg/dl。本病例在两个方面具有独特性。第一,患者在不到一个月的时间内由急性戊型肝炎引发了MGRS。第二,MGRS病变表现为轻链管型肾病的形式。

https://cdn.ncbi.nlm.nih.gov/pmc/blobs/67ff/6375020/edbedebaf930/IJN-29-50-g001.jpg

文献AI研究员

20分钟写一篇综述,助力文献阅读效率提升50倍。

立即体验

用中文搜PubMed

大模型驱动的PubMed中文搜索引擎

马上搜索

文档翻译

学术文献翻译模型,支持多种主流文档格式。

立即体验