Department of Biochemistry and Molecular Biology, School of Basic Medical Sciences, Beijing Key Laboratory of Protein Posttranslational Modifications and Cell Function, Peking University Health Science Center, Beijing, 100191, P. R. China.
Guangdong and Shenzhen Key Laboratory of Male Reproductive Medicine and Genetics, Institute of Urology, Peking University Shenzhen Hospital, Shenzhen-Peking University-the Hong Kong University of Science and Technology Medical Center, Shenzhen, 518000, P. R. China.
Oncogene. 2019 Jun;38(24):4835-4855. doi: 10.1038/s41388-019-0761-2. Epub 2019 Feb 28.
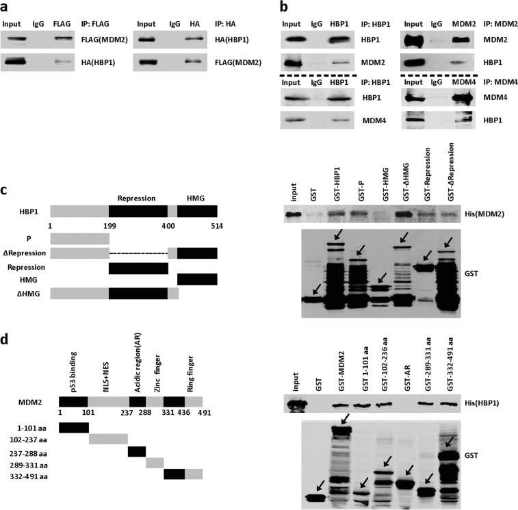
Genome instability is a common feature of tumor cells, and the persistent presence of genome instability is a potential mechanism of tumorigenesis. The E3 ubiquitin ligase MDM2 is intimately involved in genome instability, but its mechanisms are unclear. Our data demonstrated that the transcription factor HBP1 is a target of MDM2. MDM2 facilitates HBP1 proteasomal degradation by ubiquitinating HBP1, regardless of p53 status, thus attenuating the transcriptional inhibition of HBP1 in the expression of its target genes, such as the DNA methyltransferase DNMT1 and histone methyltransferase EZH2, which results in global DNA hypermethylation and histone hypermethylation and ultimately genome instability. The repression of HBP1 by MDM2 finally promotes cell growth and tumorigenesis. Next, we thoroughly explored the regulatory mechanism of the MDM2/HBP1 axis in DNA damage repair following ionizing radiation. Our data indicated that MDM2 overexpression-mediated repression of HBP1 delays DNA damage repair and causes cell death in a p53-independent manner. This investigation elucidated the mechanism of how MDM2 promotes genome instability and enhances tumorigenesis in the absence of p53, thus providing a theoretical and experimental basis for targeting MDM2 as a cancer therapy.
基因组不稳定性是肿瘤细胞的一个共同特征,而基因组不稳定性的持续存在是肿瘤发生的一个潜在机制。E3 泛素连接酶 MDM2 密切参与基因组不稳定性,但其机制尚不清楚。我们的数据表明,转录因子 HBP1 是 MDM2 的一个靶标。MDM2 通过泛素化 HBP1 促进 HBP1 的蛋白酶体降解,而与 p53 状态无关,从而减弱 HBP1 对其靶基因(如 DNA 甲基转移酶 DNMT1 和组蛋白甲基转移酶 EZH2)表达的转录抑制作用,导致全局 DNA 高甲基化和组蛋白高甲基化,最终导致基因组不稳定。MDM2 对 HBP1 的抑制最终促进了细胞生长和肿瘤发生。接下来,我们深入探讨了 MDM2/HBP1 轴在电离辐射后 DNA 损伤修复中的调控机制。我们的数据表明,MDM2 过表达介导的 HBP1 抑制延迟了 DNA 损伤修复,并以 p53 非依赖性方式导致细胞死亡。这项研究阐明了 MDM2 如何在没有 p53 的情况下促进基因组不稳定性和增强肿瘤发生的机制,为以 MDM2 为靶点的癌症治疗提供了理论和实验依据。