Suppr超能文献

心脏断层扫描和磁共振对极其罕见冠状动脉异常的诊断检测:一例报告并文献复习

Diagnostic detection with cardiac tomography and resonance of extremely rare coronary anomaly: A case report and review of literature.

作者信息

Schicchi Nicolò, Fogante Marco, Giuseppetti Gian Marco, Giovagnoni Andrea

机构信息

Department of Radiology, Azienda Ospedaliero-Universitaria Ospedali Riuniti, Ancona 60126, Italy.

Department of Radiology, Università Politecnica delle Marche, Ancona 60126, Italy.

出版信息

World J Clin Cases. 2019 Mar 6;7(5):628-635. doi: 10.12998/wjcc.v7.i5.628.

Abstract

BACKGROUND

The association of two congenital coronary artery anomalies (CAAs) is extremely rare but represents one of the main cause of sudden cardiac death in young athletes. Although coronary angiography (CX-A) is still widely used in childhood, cardiac magnetic resonance (C-MRI) and cardiac computed tomography (C-CT) have recently taken on an increasing diagnostic role in early detection of CAAs and concomitant congenital cardiac malformations.

CASE SUMMARY

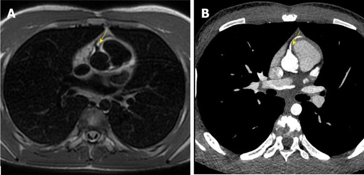
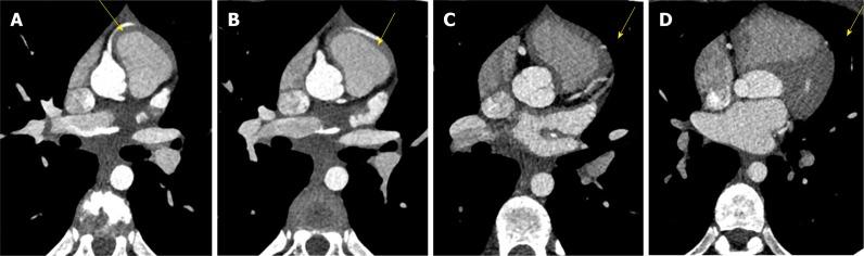
A healthy 10-year-old male patient was referred to the Radiological Department of our Institution due to no evidence of left coronary artery in echocardiographic examination. With C-MRI was detected marked myocardial trabeculation and was suspected anomalous origin and course of left circumflex (LCx) artery and of left anterior descending (LAD) artery. With third generation Dual Source C-CT 192x2-sections (SOMATOM Force, Siemens, Germany) was confirmed anomalous origin of LCx artery from right pulmonary artery associated with anomalous origin of LAD artery from right coronary artery with course in front of right ventricular outflow tract. The patient underwent surgical treatment with reimplantation of the anomalous LCX and LAD arteries into the wall of ascending aorta, with no postoperative complications. The patient remained asymptomatic and follow-up C-MRI scan four months after operation showed complete success of surgery treatment.

CONCLUSION

This case highlights the diagnostic potential of C-CT and C-MRI in evaluation of CAAs and of cardiac morphology and functionality, with very low radiation dose and without the risks related to invasive procedure.

摘要

背景

两种先天性冠状动脉异常(CAA)同时存在极为罕见,但却是年轻运动员心脏性猝死的主要原因之一。尽管冠状动脉造影(CX - A)在儿童时期仍被广泛使用,但心脏磁共振成像(C - MRI)和心脏计算机断层扫描(C - CT)最近在早期检测CAA及伴随的先天性心脏畸形方面发挥着越来越重要的诊断作用。

病例摘要

一名10岁健康男性患者因超声心动图检查未发现左冠状动脉而被转诊至我院放射科。通过C - MRI检测到明显的心肌小梁,并怀疑左旋支(LCx)动脉和左前降支(LAD)动脉起源及走行异常。使用第三代双源C - CT 192x2层扫描(德国西门子SOMATOM Force)证实LCx动脉起源于右肺动脉,同时LAD动脉起源于右冠状动脉且走行于右心室流出道前方。该患者接受了手术治疗,将异常的LCX和LAD动脉重新植入升主动脉壁,术后无并发症。患者仍无症状,术后四个月的随访C - MRI扫描显示手术治疗完全成功。

结论

本病例突出了C - CT和C - MRI在评估CAA以及心脏形态和功能方面的诊断潜力,辐射剂量极低且无侵入性检查相关风险。

https://cdn.ncbi.nlm.nih.gov/pmc/blobs/58b9/6406198/0358f21440e4/WJCC-7-628-g001.jpg

文献AI研究员

20分钟写一篇综述,助力文献阅读效率提升50倍。

立即体验

用中文搜PubMed

大模型驱动的PubMed中文搜索引擎

马上搜索

文档翻译

学术文献翻译模型,支持多种主流文档格式。

立即体验