Department of Neurosurgery, First Affiliated Hospital of Dalian Medical University, Dalian, China.
Dean's Office, First Affiliated Hospital of Dalian Medical University, Dalian, China.
Cancer Sci. 2019 May;110(5):1621-1632. doi: 10.1111/cas.14002. Epub 2019 Apr 23.
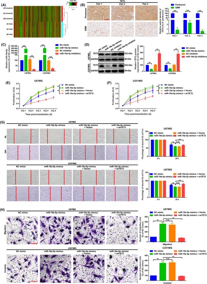
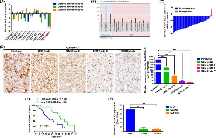
Long non-coding RNAs (lncRNAs) are crucial regulators in various malignancies including glioblastoma multiforme (GBM). In the present study, we screened out a new lncRNA, AC016405.3, through a previous genome-wide lncRNA microarray analysis in GBM. It showed that AC016405.3 was downregulated in GBM tissue specimens and cell lines, and it also illustrated that the downregulated AC016405.3 was closely correlated with several aggressive features of patients with GBM. Functionally, we found that overexpression of AC016405.3 suppressed GBM cells' proliferation and metastasis using a gain of function experiment. We further showed that microRNA (miR)-19a-5p, a carcinogenic miRNA, was a downstream miRNA of AC016405.3. AC016405.3 was revealed as a target of miR-19a-5p, and overexpression of miR-19a-5p reversed the inhibitive effect of AC016405.3 on GBM cell proliferation and metastasis. Furthermore, a novel downstream gene of miR-19a-5p, TET2, was identified through a constructed microarray analysis. We showed that TET2 was downregulated in GBM and was involved in miR-19a-5p-mediated proliferation and metastasis by directly being targeted. Finally, through a western blot assay and a series of functional CCK-8 and metastatic assays, we showed that AC016405.3 suppressed proliferation and metastasis through modulation of TET2 by sponging of miR-19a-5p in GBM cells. In summary, the findings of the current study identified a novel lncRNA and illustrated that AC016405.3, acting as an anti-oncogene, suppressed GBM cell proliferation and metastasis by regulating TET through miR-19a-5p sponging. Our present study might provide a new axis in the molecular treatment of GBM.
长链非编码 RNA(lncRNA)是多种恶性肿瘤包括多形性胶质母细胞瘤(GBM)的重要调节因子。在本研究中,我们通过先前在 GBM 中的全基因组 lncRNA 微阵列分析筛选出一个新的 lncRNA,AC016405.3。结果表明,AC016405.3 在 GBM 组织标本和细胞系中下调,并且下调的 AC016405.3 与 GBM 患者的几种侵袭性特征密切相关。功能上,我们通过功能获得实验发现,AC016405.3 的过表达抑制了 GBM 细胞的增殖和转移。我们进一步表明,致癌 miRNA miR-19a-5p 是 AC016405.3 的下游 miRNA。AC016405.3 被揭示为 miR-19a-5p 的靶标,过表达 miR-19a-5p 逆转了 AC016405.3 对 GBM 细胞增殖和转移的抑制作用。此外,通过构建的微阵列分析,确定了 miR-19a-5p 的一个新的下游基因 TET2。我们表明,TET2 在 GBM 中下调,并通过直接靶向参与 miR-19a-5p 介导的增殖和转移。最后,通过 Western blot 检测和一系列功能性 CCK-8 和转移实验,我们表明 AC016405.3 通过 miR-19a-5p 海绵作用调节 TET2,从而抑制 GBM 细胞的增殖和转移。综上所述,本研究发现了一个新的 lncRNA,并表明 AC016405.3 作为一种抗癌基因,通过调节 miR-19a-5p 海绵作用来抑制 TET2,从而抑制 GBM 细胞的增殖和转移。我们的研究为 GBM 的分子治疗提供了一个新的靶点。