Suppr超能文献

精囊原发性鳞状细胞癌:一例病例报告及文献复习

Primary squamous cell carcinoma of the seminal vesicle: A case report and review of the literature.

作者信息

Fang Lu, Hong Qian, Chen Lei, Wang Yi, Bi Liang-Kuan, Xie Dong-Dong, Yu De-Xin

机构信息

Department of Urology, The Second Hospital of Anhui Medical University, Hefei, Anhui Province, China.

出版信息

Medicine (Baltimore). 2019 Mar;98(12):e14788. doi: 10.1097/MD.0000000000014788.

Abstract

RATIONALE

Primary squamous cell carcinoma (SCC) of the seminal vesicle is extremely rare, and the clinical characteristics of this kind of malignancy are still unclear.

PATIENT CONCERNS

A 62-year-old male patient presented with complaints of sensation of rectal tenesmus and dysuria.

DIAGNOSIS

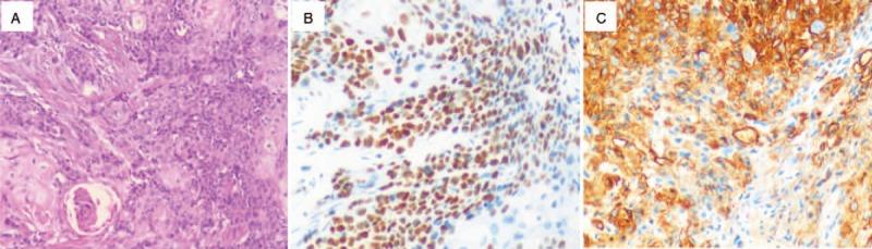
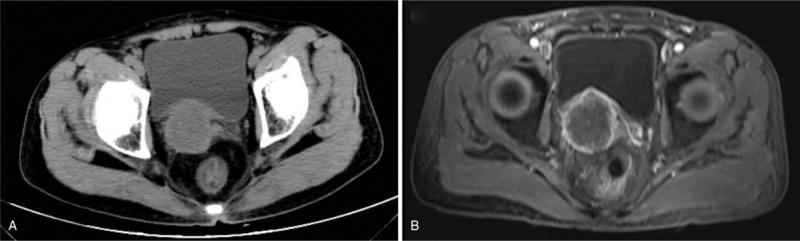
Ultrasonography suggested a hypoechoic mass behind the bladder, meanwhile, computerized tomography (CT) and magnetic resonance imaging (MRI) revealed a 40 mm × 45 mm × 48 mm mixed solid/cystic tumorous lesion in the right seminal vesicle. Postoperative histology confirmed the diagnosis of primary SCC in the seminal vesicle.

INTERVENTION

The mass was surgically excised with a laparoscopic approach. Postoperatively, 6 cycles of chemotherapy and 50 Gy of external beam radiation were concurrently performed on this patient.

OUTCOMES

No local recurrence or distant metastasis was detected within 2 years after the surgery.

LESSONS

Primary SCC of the seminal vesicle is a rare neoplasm with a poor prognosis. Clinically, it is crucial to establish early precise diagnosis and apply multimodality treatment.

摘要

理论依据

精囊原发性鳞状细胞癌(SCC)极为罕见,这类恶性肿瘤的临床特征仍不明确。

患者情况

一名62岁男性患者,主诉有里急后重感和排尿困难。

诊断

超声检查提示膀胱后方有低回声肿块,同时,计算机断层扫描(CT)和磁共振成像(MRI)显示右侧精囊有一个40mm×45mm×48mm的混合实性/囊性肿瘤性病变。术后组织学检查确诊为精囊原发性SCC。

干预措施

采用腹腔镜手术切除肿块。术后,该患者同时接受了6个周期的化疗和50Gy的外照射放疗。

结果

术后2年内未发现局部复发或远处转移。

经验教训

精囊原发性SCC是一种罕见肿瘤,预后较差。临床上,早期准确诊断并采用多模式治疗至关重要。

https://cdn.ncbi.nlm.nih.gov/pmc/blobs/0f36/6708957/07a35b9003ed/medi-98-e14788-g001.jpg

文献AI研究员

20分钟写一篇综述,助力文献阅读效率提升50倍。

立即体验

用中文搜PubMed

大模型驱动的PubMed中文搜索引擎

马上搜索

文档翻译

学术文献翻译模型,支持多种主流文档格式。

立即体验