Suppr超能文献

经皮肾镜取石术期间使用过氧化氢后发生氧静脉栓塞

Oxygen Venous Embolism After Hydrogen Peroxide Use During Percutaneous Nephrolithotomy.

作者信息

DiBianco John Michael, Lange Jessica, Heidenberg Daniel, Mufarrij Patrick

机构信息

Department of Urology, George Washington University Medical School, Washington, District of Columbia.

出版信息

J Endourol Case Rep. 2019 Mar 18;5(1):25-27. doi: 10.1089/cren.2018.0111. eCollection 2019.

Abstract

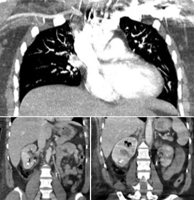
Hydrogen peroxide (HO) is a common antiseptic that is available without a prescription in the United States, and it is indicated for minor dermal abrasion; mouth, gum, or dental irritations; and removal of oral secretion. Several other medical uses have also been described, including clot dissolution during endoscopic gastrointestinal evaluation, cleansing of orthopedic surgical sites, and bladder irrigation. However, these uses of HO, as well as high-dose ingestion, have been associated with a wide variety of medical complications, including but not limited to air pulmonary embolism and stroke. Our patient is a 51-year-old female with a medical history of hypertension, familial, hypercholesterolemia, gallstones, depression, coronary artery disease (identified on calcium study because of familial hypercholesterolemia), nephrolithiasis, and recurrent cystitis. She required percutaneous nephrolithotomy and had HO administered for clot dissolution. The clinical and temporal evidence would suggest a transient pulmonary air embolus after the intrarenal administration of or irrigation with HO, large amounts under high pressure. This represents the first reported incidence of air embolus as a result of intrarenal administration of HO.

摘要

过氧化氢(HO)是一种常见的防腐剂,在美国无需处方即可获得,适用于轻微皮肤擦伤、口腔、牙龈或牙齿刺激以及清除口腔分泌物。还描述了其他一些医学用途,包括在内镜胃肠道评估期间溶解血凝块、清洁骨科手术部位和膀胱冲洗。然而,HO的这些用途以及高剂量摄入与多种医学并发症有关,包括但不限于空气肺栓塞和中风。我们的患者是一名51岁女性,有高血压、家族性高胆固醇血症、胆结石、抑郁症、冠状动脉疾病(因家族性高胆固醇血症在钙研究中确诊)、肾结石和复发性膀胱炎病史。她需要进行经皮肾镜取石术,并接受HO以溶解血凝块。临床和时间证据表明,在高压下大量经肾内给药或冲洗HO后出现了短暂的肺空气栓塞。这是首次报道经肾内给药HO导致空气栓塞的病例。

https://cdn.ncbi.nlm.nih.gov/pmc/blobs/cfaf/6461058/94a4227184a0/fig-1.jpg

文献AI研究员

20分钟写一篇综述,助力文献阅读效率提升50倍。

立即体验

用中文搜PubMed

大模型驱动的PubMed中文搜索引擎

马上搜索

文档翻译

学术文献翻译模型,支持多种主流文档格式。

立即体验