Yang Feiya, Liu Sai, Mou Lianjie, Wu Liyuan, Li Xuesong, Xing Nianzeng
Department of Urology, National Cancer Center/National Clinical Research Center for Cancer/Cancer Hospital, Chinese Academy of Medical Sciences and Peking Union Medical College, Beijing, China.
Department of Urology, Beijing Chaoyang Hospital, Capital Medical University, Beijing, China.
Endosc Ultrasound. 2019 Mar-Apr;8(2):118-124. doi: 10.4103/eus.eus_15_19.
To summarize the value and application experiences of intraoperative laparoscopic ultrasonography (ILUS) in retroperitoneal laparoscopic partial nephrectomy (RLPN).
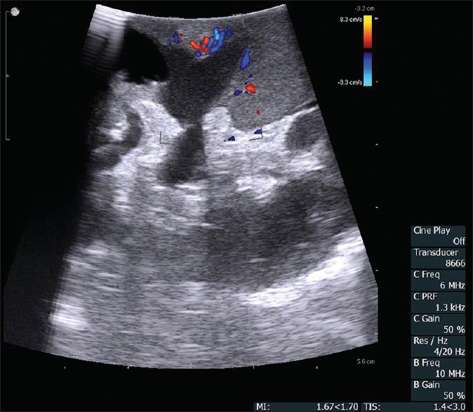
From January 2013 to December 2018, RLPN with ILUS was performed on the recent 199 patients in our center (two patients received bilateral RLPN due to suspected malignancy of both right and left sides), and the relevant clinical and follow-up data were retrospectively reviewed. Among them, 119 patients were male and 80 were female; the age of patients was 53.4 ± 12.3 years. Of all the renal tumors, 105 were located on the left side and 96 on the right side with a RENAL score of 6.6 ± 1.7. All the patients were diagnosed as or suspected of having a renal tumor by preoperative imaging examination. The ILUS was applied in all the operations to help locate the tumor, delineate the boundary, clarify the diagnosis, observe the blood supply, and so on.
RLPN with ILUS in these 199 patients was successfully performed without conversion to open surgery. All surgeries were completed in 90.2 ± 21.7 min, with 73.6 ± 89.2 mL for estimated blood loss, and 19.3 ± 5.6 min for warm ischemia time. The tumor size was 3.6 ± 1.5 cm, and all the surgical margins were negative. The drainage days and postoperative hospital days were 4.7 ± 2.3 and 6.1 ± 2.3, respectively. The preoperative creatinine was 69.7 ± 19.4 μmol/L compared with 61.6 ± 12.7 μmol/L measured 1 month postoperatively. There were 17 cases of renal cell carcinoma no more than 1 cm, and they were resected without artery clamp or a large amount of blood loss. Satellite tumors were confirmed in 12 cases, of which 8 were not detected by preoperative examinations and finally found by ILUS during surgeries.
ILUS can alleviate the difficulty of preoperative diagnosis, facilitate surgical dissection, and improve the effect of nephron-sparing surgeries. Due to its great advantage, ILUS should further be promoted and applied.
总结术中腹腔镜超声(ILUS)在腹膜后腹腔镜肾部分切除术(RLPN)中的应用价值及经验。
回顾性分析2013年1月至2018年12月期间,我中心对199例患者实施的RLPN联合ILUS手术(2例患者因双侧肾脏均怀疑恶性肿瘤而接受双侧RLPN)的相关临床及随访资料。其中男性119例,女性80例;患者年龄为53.4±12.3岁。所有肾肿瘤中,左侧105例,右侧96例,RENAL评分为6.6±1.7。所有患者术前影像学检查均诊断为或怀疑患有肾肿瘤。术中均应用ILUS协助定位肿瘤、界定边界、明确诊断、观察血供等。
这199例患者均成功实施RLPN联合ILUS手术,无一例中转开放手术。所有手术时间为90.2±21.7分钟,估计失血量为73.6±89.2毫升,热缺血时间为19.3±5.6分钟。肿瘤大小为3.6±1.5厘米,所有手术切缘均为阴性。引流天数和术后住院天数分别为4.7±2.3天和6.1±2.3天。术前肌酐为69.7±19.4微摩尔/升,术后1个月为61.6±12.7微摩尔/升。肾细胞癌直径不超过1厘米的有17例,均未使用动脉夹且出血量少。术中证实存在卫星灶12例,其中8例术前检查未发现,最终在手术中由ILUS发现。
ILUS可减轻术前诊断难度,便于手术解剖,提高保肾手术效果。因其优势显著,应进一步推广应用。