Department of Surgery "Pietro Valdoni", Sapienza University of Rome, 00161 Rome, Italy.
Azienda Policlinico Umberto I, 00161 Rome, Italy.
Int J Mol Sci. 2019 Apr 30;20(9):2151. doi: 10.3390/ijms20092151.
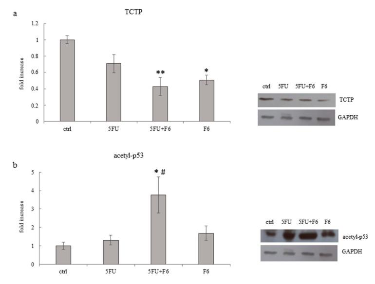
Some yet unidentified factors released by both oocyte and embryonic microenvironments demonstrated to be non-permissive for tumor development and display the remarkable ability to foster cell/tissue reprogramming, thus ultimately reversing the malignant phenotype. In the present study we observed how molecular factors extracted from Zebrafish embryos during specific developmental phases (20 somites) significantly antagonize proliferation of breast cancer cells, while reversing a number of prominent aspects of malignancy. Embryo extracts reduce cell proliferation, enhance apoptosis, and dramatically inhibit both invasiveness and migrating capabilities of cancer cells. Counteracting the invasive phenotype is a relevant issue in controlling tumor spreading and metastasis. Moreover, such effect is not limited to cancerous cells as embryo extracts were also effective in inhibiting migration and invasiveness displayed by normal breast cells undergoing epithelial-mesenchymal transition upon TGF-β1 stimulation. The reversion program involves the modulation of E-cadherin/β-catenin pathway, cytoskeleton remodeling with dramatic reduction in vinculin, as well as downregulation of TCTP and the concomitant increase in p53 levels. Our findings highlight that-contrary to the prevailing current "dogma", which posits that neoplastic cells are irreversibly "committed"-the malignant phenotype can ultimately be "reversed", at least partially, in response to environmental morphogenetic influences.
一些尚未确定的因素,由卵母细胞和胚胎微环境共同释放,被证明对肿瘤的发展没有促进作用,并且具有显著的促进细胞/组织重编程的能力,从而最终逆转恶性表型。在本研究中,我们观察了来自斑马鱼胚胎在特定发育阶段(20 体节)的分子因素如何显著拮抗乳腺癌细胞的增殖,同时逆转了许多恶性特征。胚胎提取物可减少细胞增殖,促进细胞凋亡,并显著抑制癌细胞的侵袭和迁移能力。对抗侵袭表型是控制肿瘤扩散和转移的一个重要问题。此外,这种效应不仅限于癌细胞,因为胚胎提取物也能有效抑制 TGF-β1 刺激下正常乳腺细胞发生上皮-间充质转化时的迁移和侵袭。这种逆转程序涉及 E-钙粘蛋白/β-连环蛋白途径的调节、细胞骨架重塑,伴随着 vinculin 的显著减少,以及 TCTP 的下调和 p53 水平的同时增加。我们的发现强调了与目前流行的“教条”相反的观点,即认为肿瘤细胞是不可逆的“定型”,恶性表型最终可以“逆转”,至少在一定程度上可以响应环境形态发生的影响。