Suppr超能文献

不同剂量电离辐射对基因和疾病的潜在影响。

The Potential Effect of Different Doses of Ionizing Radiation on Genes and Disease.

作者信息

Lin Cheng-Chia, Wu Lawrence Shih-Hsin, Lee Kuei-Fang

机构信息

Department of Urological Surgery, Chang Gung Memorial Hospital, Keelung.

Graduate Institute of Biomedical Sciences, China Medical University, Taichung.

出版信息

Dose Response. 2019 May 5;17(2):1559325819843375. doi: 10.1177/1559325819843375. eCollection 2019 Apr-Jun.

Abstract

AIM

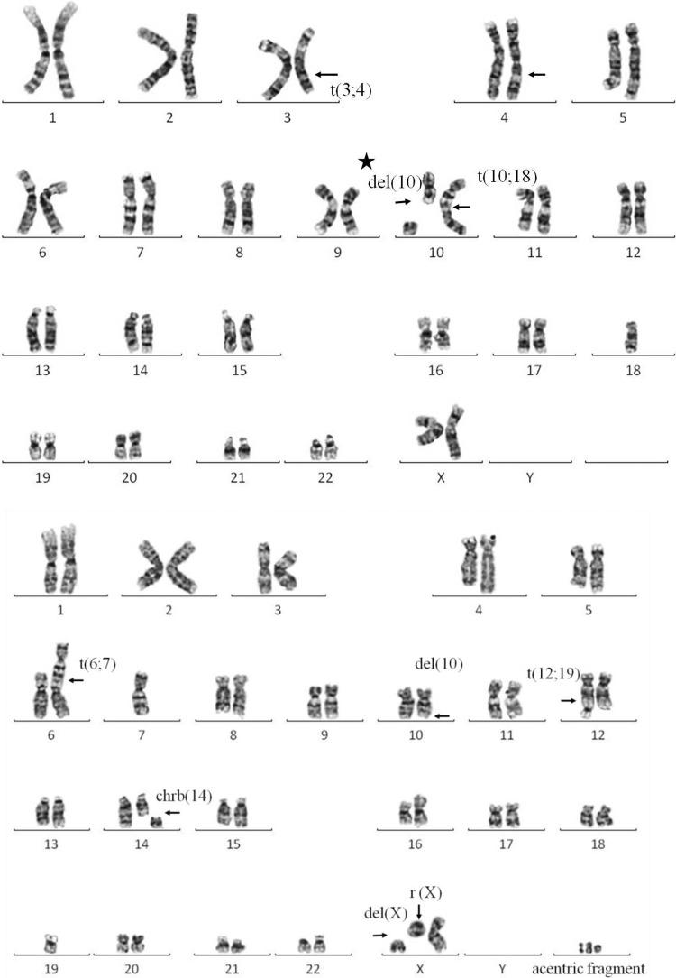
The chromosomal aberrations induced by radiation appear about nonrandomly distributed across the whole genome. Previous studies have shown that chromosomes with high DNA content are less frequently involved in the formation of symmetrical translocations and dicentric chromosomes than expected, whereas smaller chromosomes are more frequently involved. We hypothesized that these translocation regions are linked to radiation sensitivity.

MATERIALS AND METHODS

We investigated the frequencies of chromosome translocations induced by radiation exposure and adjusted the results according to chromosome length. We specifically analyzed whole blood samples from 3 participants. The samples were irradiated using Co at doses of 0.5, 1, 2.5, and 5 Gy. Traditional Giemsa-trypsin-Wright band staining was performed to identify the translocations in the chromosomes, and results were compared with microarray data generated in our previous study.

RESULTS

Our analysis indicated that chromosomes 9q were the most sensitive to translocations after various doses of radiation, and such translocations occurred in the euchromatin region. Chromosomes 1, 9, 15, and 17 were more sensitive to radiation doses of 0.5 Gy. This observation could be useful when selecting sensitive reference chromosomes in the low-dose region. The results of expression profiling analysis for radiation-sensitive regions were similar to those of chromosome translocation analysis.

CONCLUSION

This study shows that some chromosomes or genomic regions are more sensitive to alteration by radiation exposure.

摘要

目的

辐射诱导的染色体畸变在整个基因组中的分布似乎并非随机。先前的研究表明,DNA含量高的染色体参与对称易位和双着丝粒染色体形成的频率低于预期,而较小的染色体参与频率更高。我们推测这些易位区域与辐射敏感性有关。

材料与方法

我们研究了辐射暴露诱导的染色体易位频率,并根据染色体长度对结果进行了调整。我们专门分析了3名参与者的全血样本。样本分别用0.5、1、2.5和5 Gy剂量的钴进行照射。采用传统的吉姆萨-胰蛋白酶-瑞特带染色法来识别染色体中的易位,并将结果与我们之前研究中生成的微阵列数据进行比较。

结果

我们的分析表明,在不同剂量的辐射后,9号染色体长臂对易位最敏感,且此类易位发生在常染色质区域。1、9、15和17号染色体对0.5 Gy的辐射剂量更敏感。在低剂量区域选择敏感的参考染色体时,这一观察结果可能会有所帮助。辐射敏感区域的表达谱分析结果与染色体易位分析结果相似。

结论

本研究表明,一些染色体或基因组区域对辐射暴露引起的改变更为敏感。

https://cdn.ncbi.nlm.nih.gov/pmc/blobs/87d8/6503608/d07a5e144c57/10.1177_1559325819843375-fig1.jpg

文献AI研究员

20分钟写一篇综述,助力文献阅读效率提升50倍。

立即体验

用中文搜PubMed

大模型驱动的PubMed中文搜索引擎

马上搜索

文档翻译

学术文献翻译模型,支持多种主流文档格式。

立即体验