Hussain Rehan M, Dubovy Sander R, Zhou Xiao Yi, Schwartz Stephen G, Villegas Victor M
Bascom Palmer Eye Institute, University of Miami Miller School of Medicine, 900 NW 17th St, Miami, FL, 33136, USA.
Am J Ophthalmol Case Rep. 2019 May 31;15:100479. doi: 10.1016/j.ajoc.2019.100479. eCollection 2019 Sep.
To report the intraoperative optical coherence tomography (OCT)-guided surgery of a consolidated sub-internal limiting membrane (ILM) hemorrhage that developed into a sub-ILM fibrotic membrane in a child with a history of Terson syndrome.
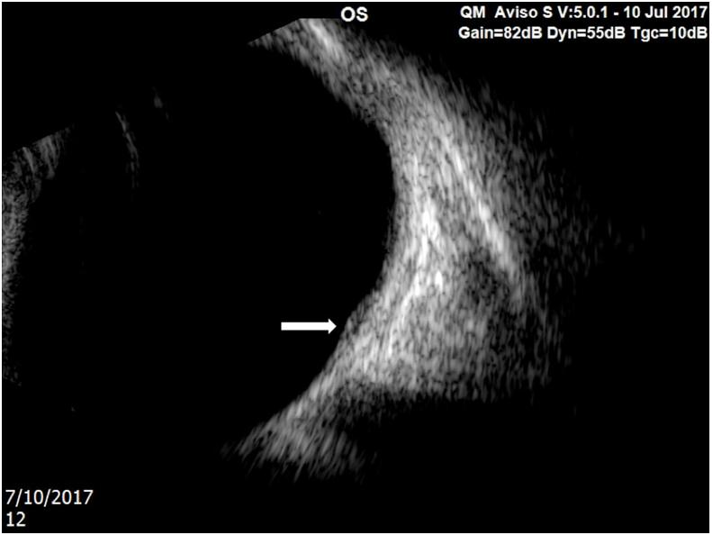
A one year-old boy with a history of Terson syndrome due to a motor vehicle accident presented three months after trauma with a white feather-shaped membrane in the left macula. Preoperative OCT showed a preretinal hyperreflective tissue at the foveal center. The patient underwent pars plana vitrectomy. After separation of the posterior hyaloid, intraoperative OCT did not show any change in structural components. After peeling the ILM, the fibrotic membrane persisted. A bent 30-gauged needle was used to create a plane of dissection in the adherent sub-ILM membrane, which was then peeled with ILM forceps without complication. Post-operative OCT confirmed complete excision without evidence of macular edema. Pathology results indicated presence of fibrocellular tissue that contained hemosiderin, consistent with old organized hemorrhage as a component of the membrane.
Sub-ILM hemorrhage may persist as a tautly adherent fibrotic membrane that can mimic the appearance of an epiretinal membrane or a chronic subhyaloidal hemorrhage during examination, especially in young children. Intraoperative OCT may aid in select complex macular surgery cases to better delineate the planes of dissection during sub-ILM fibrosis excision.
报告1例患有Terson综合征的儿童,其视网膜内界膜(ILM)下出血机化形成ILM下纤维化膜,并在术中光学相干断层扫描(OCT)引导下进行手术的情况。
一名因机动车事故患有Terson综合征的1岁男孩,在创伤后3个月出现左黄斑区白色羽毛状膜。术前OCT显示黄斑中心凹处视网膜前高反射组织。患者接受了玻璃体切除术。在分离后玻璃体后,术中OCT显示结构成分无任何变化。剥除ILM后,纤维化膜仍然存在。使用弯曲的30号针在粘连的ILM下膜中创建一个剥离平面,然后用ILM镊将其剥除,未发生并发症。术后OCT证实已完全切除,且无黄斑水肿迹象。病理结果表明存在含有含铁血黄素的纤维细胞组织,与作为膜成分的陈旧性机化出血一致。
ILM下出血可能会持续存在,形成紧密粘连的纤维化膜,在检查时可能会模仿视网膜前膜或慢性玻璃体下出血的外观,尤其是在幼儿中。术中OCT可能有助于某些复杂的黄斑手术病例,在切除ILM下纤维化时更好地划定剥离平面。