Suppr超能文献

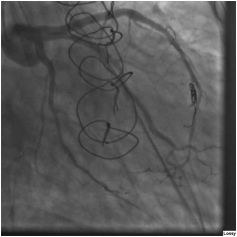
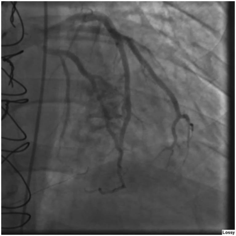
A coronary cameral fistula treated with coil embolization.

作者信息

Hinds Ethan D, Marin Manuel J, George Joggy, Delgado Reynolds

机构信息

School of Medicine, University of Texas Medical Branch, Galveston, USA.

Center for Clinical Research, Texas Heart Institute, Houston, USA.

出版信息

JRSM Cardiovasc Dis. 2019 Jun 25;8:2048004019856801. doi: 10.1177/2048004019856801. eCollection 2019 Jan-Dec.

Abstract

A 56-year-old man who had twice previously undergone orthotopic heart transplantation was admitted with dyspnea and heart failure symptoms. A biopsy excluded rejection. Left heart catheterization revealed a coronary cameral fistula. After the patient was given mild diuretics, his condition improved. No significant fistula flow was detected, and he was discharged. Several months later, the patient was readmitted with worsening chest pain and dyspnea. Left ventricular end-diastolic pressure and flow through the fistula were increased. To correct the coronary cameral fistula, we performed a coil embolization without complications. Several months later at follow-up, the patient's symptoms had resolved, and his left ventricular end-diastolic pressure had normalized. We conclude that coronary fistulas may be caused by trauma to the heart during the de-airing process, which may be prevented in the future with the development of safer and more effective de-airing techniques.

摘要
https://cdn.ncbi.nlm.nih.gov/pmc/blobs/c83e/6597856/48017f197c95/10.1177_2048004019856801-fig1.jpg

文献AI研究员

20分钟写一篇综述,助力文献阅读效率提升50倍。

立即体验

用中文搜PubMed

大模型驱动的PubMed中文搜索引擎

马上搜索

文档翻译

学术文献翻译模型,支持多种主流文档格式。

立即体验