Suppr超能文献

INCENP 等位基因的切换控制有丝分裂染色体乘客复合物功能的转变。

Switching of INCENP paralogs controls transitions in mitotic chromosomal passenger complex functions.

机构信息

a Sars International Centre for Marine Molecular Biology, University of Bergen , Bergen , Norway.

b Department of Biological Sciences, University of Bergen , Bergen , Norway.

出版信息

Cell Cycle. 2019 Sep;18(17):2006-2025. doi: 10.1080/15384101.2019.1634954. Epub 2019 Jul 15.

Abstract

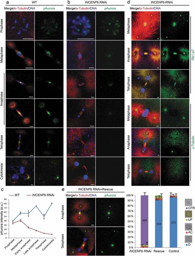
A single inner centromere protein (INCENP) found throughout eukaryotes modulates Aurora B kinase activity and chromosomal passenger complex (CPC) localization, which is essential for timely mitotic progression. It has been proposed that INCENP might act as a rheostat to regulate Aurora B activity through mitosis, with successively higher activity threshold levels for chromosome alignment, the spindle checkpoint, anaphase spindle transfer and finally spindle elongation and cytokinesis. It remains mechanistically unclear how this would be achieved. Here, we reveal that the urochordate, , possesses two INCENP paralogs, which display distinct localizations and subfunctionalization in order to complete M-phase. INCENPa was localized on chromosome arms and centromeres by prometaphase, and modulated Aurora B activity to mediate H3S10/S28 phosphorylation, chromosome condensation, spindle assembly and transfer of the CPC to the central spindle. Polo-like kinase (Plk1) recruitment to CDK1 phosphorylated INCENPa was crucial for INCENPa-Aurora B enrichment on centromeres. The second paralog, INCENPb was enriched on centromeres from prometaphase, and relocated to the central spindle at anaphase onset. In the absence of INCENPa, meiotic spindles failed to form, and homologous chromosomes did not segregate. INCENPb was not required for early to mid M-phase events but became essential for the activity and localization of Aurora B on the central spindle and midbody during cytokinesis in order to allow abscission to occur. Together, our results demonstrate that INCENP paralog switching on centromeres modulates Aurora B kinase localization, thus chronologically regulating CPC functions during fast embryonic divisions in the urochordate . CCAN: constitutive centromere-associated network; CENPs: centromere proteins; cmRNA: capped messenger RNA; CPC: chromosomal passenger complex; INCENP: inner centromere protein; Plk1: polo-like kinase 1; PP1: protein phosphatase 1; PP2A: protein phosphatase 2A; SAC: spindle assembly checkpoint; SAH: single α-helix domain.

摘要

在真核生物中发现的单个内着丝粒蛋白(INCENP)调节 Aurora B 激酶活性和染色体乘客复合物(CPC)定位,这对于有丝分裂的正常进行是必不可少的。有人提出,INCENP 可能作为变阻器,通过有丝分裂调节 Aurora B 的活性,染色体对齐、纺锤体检查点、后期纺锤体转移以及最终纺锤体伸长和胞质分裂的活性阈值水平依次升高。其机制尚不清楚。在这里,我们揭示了尾索动物 ,具有两个 INCENP 旁系同源物,它们为了完成 M 期而表现出不同的定位和亚功能化。INCENPa 在前期定位于染色体臂和着丝粒上,并调节 Aurora B 的活性来介导 H3S10/S28 磷酸化、染色体浓缩、纺锤体组装和 CPC 向中央纺锤体的转移。Polo 样激酶(Plk1)募集到 CDK1 磷酸化的 INCENPa 对于 INCENPa-Aurora B 在着丝粒上的富集至关重要。第二个旁系同源物 INCENPb 从前期开始富集在着丝粒上,并在后期开始时重新定位到中央纺锤体。在没有 INCENPa 的情况下,减数分裂纺锤体无法形成,同源染色体不能分离。INCENPb 不需要早期到中期 M 期事件,但对于 Aurora B 在有丝分裂中期中央纺锤体和中间体上的活性和定位是必不可少的,以允许发生分离。总之,我们的结果表明,着丝粒上的 INCENP 旁系同源物的切换调节 Aurora B 激酶的定位,从而在快速胚胎分裂中按时间顺序调节 CPC 功能 尾索动物 。CCAN:组成型着丝粒相关网络;CENPs:着丝粒蛋白;cmRNA:帽状信使 RNA;CPC:染色体乘客复合物;INCENP:内着丝粒蛋白;Plk1:Polo 样激酶 1;PP1:蛋白磷酸酶 1;PP2A:蛋白磷酸酶 2A;SAC:纺锤体组装检查点;SAH:单α-螺旋域。

https://cdn.ncbi.nlm.nih.gov/pmc/blobs/233a/6681789/d6141a553bc5/kccy-18-17-1634954-g001.jpg

文献AI研究员

20分钟写一篇综述,助力文献阅读效率提升50倍。

立即体验

用中文搜PubMed

大模型驱动的PubMed中文搜索引擎

马上搜索

文档翻译

学术文献翻译模型,支持多种主流文档格式。

立即体验