Suppr超能文献

腺癌与神经内分泌肿瘤并存:一例罕见的 Vater 壶腹腺癌与神经内分泌肿瘤同步发生的病例

When Adenocarcinoma Went Hand in Hand with Neuroendocrine Tumor: A Rare Case of Adenocarcinoma Synchronous with Neuroendocrine Tumor in Ampulla of Vater.

作者信息

Kochar Tanureet, Dhingra Parminder, Shah Hamza

机构信息

Internal Medicine, Charleston Area Medical Center / West Virginia University, Charleston, USA.

Internal Medicine, St. Vincent Mercy Medical Center, Toledo, USA.

出版信息

Cureus. 2019 Jul 18;11(7):e5168. doi: 10.7759/cureus.5168.

Abstract

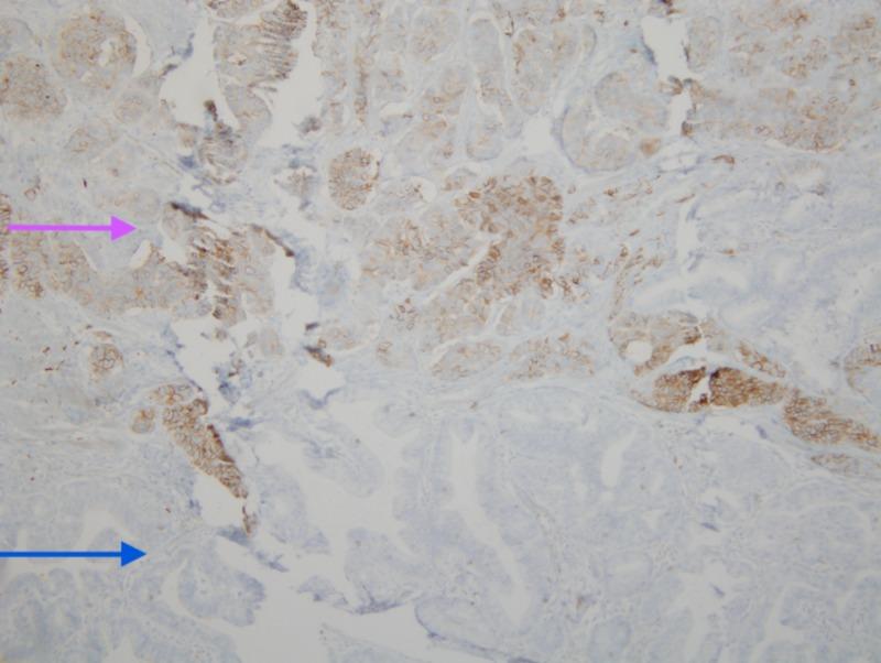
Neuroendocrine tumors (NETs) of gastrointestinal tract are rare entities. Their presence as synchronous lesions with adenocarcinoma has rarely been described in the literature. Cases of synchronous lesions of adenocarcinoma with neuroendocrine component have been described in the colon in the past. However, synchronous presence in the ampulla of Vater is quite uncommon. In the duodenum, NETs constitute 5.7 to 7.9% of the neuroendocrine neoplasms of the gastroenteropancreatic tract. We present a case of 65-year-old male who presented with abdominal symptoms and weight loss, was found to have adenocarcinoma of the ampulla of Vater on biopsy via endoscopic retrograde cholangiopancreatography (ERCP), for which he underwent Whipple's surgery and was found to have neuroendocrine component along with adenocarcinoma postoperatively on histology.

摘要

胃肠道神经内分泌肿瘤(NETs)是罕见的疾病。它们作为与腺癌同步出现的病变在文献中很少被描述。过去曾有过结肠中腺癌与神经内分泌成分同步病变的病例报道。然而,在 Vater 壶腹出现同步病变相当罕见。在十二指肠,NETs 占胃肠胰道神经内分泌肿瘤的 5.7%至 7.9%。我们报告一例 65 岁男性,因出现腹部症状和体重减轻就诊,经内镜逆行胰胆管造影术(ERCP)活检发现患有 Vater 壶腹腺癌,为此他接受了 Whipple 手术,术后组织学检查发现除腺癌外还存在神经内分泌成分。

https://cdn.ncbi.nlm.nih.gov/pmc/blobs/3026/6743665/4f7bd8e2eee8/cureus-0011-00000005168-i01.jpg

文献AI研究员

20分钟写一篇综述,助力文献阅读效率提升50倍。

立即体验

用中文搜PubMed

大模型驱动的PubMed中文搜索引擎

马上搜索

文档翻译

学术文献翻译模型,支持多种主流文档格式。

立即体验