Suppr超能文献

醛固酮通过 AIF-1/AKT/mTOR 信号通路促进肾间质纤维化。

Aldosterone promotes renal interstitial fibrosis via the AIF‑1/AKT/mTOR signaling pathway.

机构信息

Department of Nephropathy and Hemodialysis, The First Affiliated Hospital of Harbin Medical University, Harbin, Heilongjiang 150001, P.R. China.

出版信息

Mol Med Rep. 2019 Nov;20(5):4033-4044. doi: 10.3892/mmr.2019.10680. Epub 2019 Sep 13.

Abstract

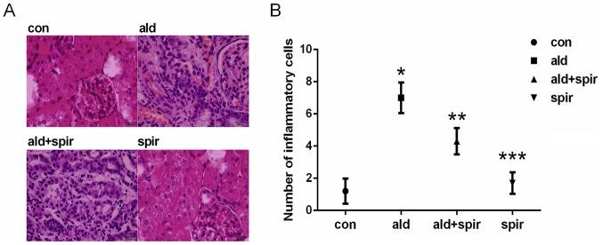
A number of studies have shown that aldosterone serves an important role in promoting renal interstitial fibrosis, although the specific mechanism remains to be elucidated. A previous study revealed that the fibrotic effect of aldosterone was associated with the expression of allograft inflammatory factor 1 (AIF‑1) in RAW264.7 macrophage cells, in a time‑ and concentration‑dependent manner. However, the exact mechanism through which aldosterone promotes renal interstitial fibrosis remains unknown. In the present study, the effects of aldosterone on renal inflammatory cell infiltration, collagen deposition and the expression levels of AIF‑1, phosphatidylinositol 3‑kinase (PI3K), AKT serine/threonine kinase (AKT), mammalian target of rapamycin (mTOR), the oxidative stress factor NADPH oxidase 2 (NOX2) and nuclear transcription factor erythroid‑related factor 2 (Nrf2) were assessed in normal rats, rats treated with aldosterone, rats treated with aldosterone and spironolactone and those treated with spironolactone only (used as the control). The effect of aldosterone on these factors was also investigated in the renal interstitium of unilateral ureteral obstruction (UUO) rats. Additionally, the AIF‑1 gene was overexpressed and knocked down in macrophage RAW264.7 cells, and the effects of aldosterone on PI3K, AKT, mTOR, NOX2 and Nrf2 were subsequently investigated. The results showed that aldosterone promoted inflammatory cell infiltration, collagen deposition and the expression of AIF‑1, PI3K, AKT, mTOR and NOX2, but inhibited the expression of Nrf2. In the UUO rats, aldosterone also promoted renal interstitial inflammatory cell infiltration, collagen deposition and the expression of AIF‑1, NOX2, PI3K, AKT and mTOR, whereas the expression of Nrf2 was downregulated by aldosterone compared with that in the UUO‑only group; the influence of aldosterone was counteracted by spironolactone in the normal and UUO rats. In vitro, aldosterone upregulated the expression levels of AKT, mTOR, NOX2 and Nrf2 in RAW264.7 cells compared with those in untreated cells. Suppressing the expression of AIF‑1 inhibited the effects of aldosterone, whereas the overexpression of AIF‑1 enhanced these effects in RAW264.7 cells. These findings indicated that aldosterone promoted renal interstitial fibrosis by upregulating the expression of AIF‑1 and that the specific mechanism may involve AKT/mTOR and oxidative stress signaling.

摘要

许多研究表明,醛固酮在促进肾间质纤维化方面起着重要作用,尽管其具体机制仍有待阐明。先前的一项研究表明,醛固酮的纤维化作用与 RAW264.7 巨噬细胞中同种异体炎症因子 1(AIF-1)的表达有关,呈时间和浓度依赖性。然而,醛固酮促进肾间质纤维化的确切机制尚不清楚。在本研究中,评估了醛固酮对正常大鼠、醛固酮处理大鼠、醛固酮和螺内酯处理大鼠以及仅用螺内酯处理大鼠(用作对照)的肾炎性细胞浸润、胶原沉积以及 AIF-1、磷脂酰肌醇 3-激酶(PI3K)、蛋白激酶 B(AKT)、雷帕霉素靶蛋白(mTOR)、氧化应激因子 NADPH 氧化酶 2(NOX2)和核转录因子红细胞相关因子 2(Nrf2)的表达水平的影响。还在单侧输尿管梗阻(UUO)大鼠的肾间质中研究了醛固酮对这些因子的影响。此外,在巨噬细胞 RAW264.7 细胞中过表达和敲低 AIF-1 基因,随后研究了醛固酮对 PI3K、AKT、mTOR、NOX2 和 Nrf2 的影响。结果表明,醛固酮促进炎性细胞浸润、胶原沉积和 AIF-1、PI3K、AKT、mTOR 和 NOX2 的表达,但抑制 Nrf2 的表达。在 UUO 大鼠中,醛固酮还促进了肾间质炎性细胞浸润、胶原沉积和 AIF-1、NOX2、PI3K、AKT 和 mTOR 的表达,而与 UUO 组相比,醛固酮下调了 Nrf2 的表达;在正常和 UUO 大鼠中,螺内酯拮抗了醛固酮的作用。在体外,醛固酮上调 RAW264.7 细胞中 AKT、mTOR、NOX2 和 Nrf2 的表达水平,高于未处理细胞。抑制 AIF-1 的表达抑制了醛固酮的作用,而 AIF-1 的过表达增强了 RAW264.7 细胞中的这些作用。这些发现表明,醛固酮通过上调 AIF-1 的表达促进肾间质纤维化,其具体机制可能涉及 AKT/mTOR 和氧化应激信号。

https://cdn.ncbi.nlm.nih.gov/pmc/blobs/bd51/6797939/e7510b12df75/MMR-20-05-4033-g00.jpg

文献AI研究员

20分钟写一篇综述,助力文献阅读效率提升50倍。

立即体验

用中文搜PubMed

大模型驱动的PubMed中文搜索引擎

马上搜索

文档翻译

学术文献翻译模型,支持多种主流文档格式。

立即体验