Sapkota Ranjan, Thapa Bibhusal, Sayami Prakash
Department of Cardio-Thoracic and Vascular Surgery, Institute of Medicine, Tribhuwan University, Kathmandu, Nepal.
J Surg Case Rep. 2019 Sep 27;2019(9):rjz250. doi: 10.1093/jscr/rjz250. eCollection 2019 Sep.
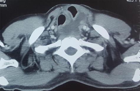
Mucocele of the native esophagus is a rare complication after esophageal bypass surgery for various indications. Esophageal mucoceles rarely get infected, forming a 'pyocele' which becomes symptomatic. Various approaches have been utilized in the management of such pyoceles. We report a similar patient managed successfully in our center utilizing a thoracoscopic deroofing and partial excision of the pyocele.
原生食管黏液囊肿是各种适应证食管旁路手术后罕见的并发症。食管黏液囊肿很少发生感染,形成有症状的“脓性囊肿”。在处理此类脓性囊肿时已采用了各种方法。我们报告了在我们中心成功治疗的一名类似患者,采用胸腔镜下脓性囊肿去顶和部分切除术。