Suppr超能文献

机械通气患者自主呼吸尝试期间的大脑皮质和呼吸肌灌注及其与撤机结果的关系:一项前瞻性观察性研究方案

Cerebral cortex and respiratory muscles perfusion during spontaneous breathing attempts in ventilated patients and its relation to weaning outcomes: a protocol for a prospective observational study.

作者信息

Louvaris Zafeiris, Van Hollebeke Marine, Dhaenens Alexander, Vanhemelen Maarten, Meersseman Philippe, Wauters Joost, Gosselink Rik, Wilmer Alexander, Langer Daniel, Hermans Greet

机构信息

Department of Rehabilitation Sciences, Faculty of Kinesiology and Rehabilitation Sciences, Rehabilitation for Internal Disorders Research Group, KU Leuven, Leuven, Belgium

Department of Intensive Care Medicine, University Hospitals Leuven, Leuven, Belgium.

出版信息

BMJ Open. 2019 Oct 31;9(10):e031072. doi: 10.1136/bmjopen-2019-031072.

Abstract

INTRODUCTION

In addition to the well-documented factors that contribute to weaning failure, increased energy demands of the respiratory muscles during spontaneous breathing trials (SBTs) might not be met by sufficient increases in energy supplies. This discrepancy may deprive blood and oxygen of other tissues. In this context, restrictions in perfusion of splanchnic organs and non-working muscles during SBT have been associated with weaning failure. However, alterations in perfusion of the brain during the weaning process are less well understood.

OBJECTIVE AND HYPOTHESIS

To investigate whether cerebral cortex perfusion evolves differentially during the transition from mechanical ventilation (MV) to spontaneous breathing between patients failing or succeeding the SBT. We hypothesise that patients failing the SBT will exhibit reduced cerebral cortex perfusion during the transition from MV to spontaneous breathing as compared with patients succeeding the SBT.

METHODS AND ANALYSIS

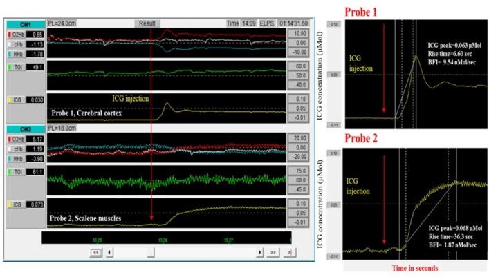
This single-centre, prospective, observational study will be conducted in a medical Intensive Care unit of University Hospital Leuven, Belgium in ready to wean patients. Blood flow index in the cerebral cortex (prefrontal area), inspiratory (scalene) and expiratory muscle (upper rectus abdominis) and a non-working muscle (thenar eminence) will be simultaneously assessed by near-infrared spectroscopy (NIRS) using the tracer indocyanine green dye. Measurements will be performed on the same day during MV and during SBT. NIRS-derived tissue oxygenation index and cardiac output (by pulse contour analyses) will be recorded continuously. Twenty patients failing an SBT are estimated to be sufficient for detecting a significant difference in the change of cerebral cortex perfusion from MV to SBT (primary outcome) between SBT failure and success patients.

ETHICS AND DISSEMINATION

Ethics approval was obtained from the local ethical committee (Ethische Commissie Onderzoek UZ/KU Leuven protocol ID: S60516). Results from this study will be presented at scientific meetings and congresses and published in peer-reviewed journals.

TRIAL REGISTRATION NUMBER

NCT03240263; Pre-results.

摘要

引言

除了那些已被充分记录的导致撤机失败的因素外,自主呼吸试验(SBT)期间呼吸肌能量需求的增加可能无法通过能量供应的充分增加来满足。这种差异可能会剥夺其他组织的血液和氧气。在这种情况下,SBT期间内脏器官和非工作肌肉灌注的限制与撤机失败有关。然而,撤机过程中大脑灌注的变化尚不太清楚。

目的和假设

研究在SBT失败或成功的患者从机械通气(MV)过渡到自主呼吸期间,大脑皮质灌注是否有不同的变化。我们假设,与SBT成功的患者相比,SBT失败的患者在从MV过渡到自主呼吸期间大脑皮质灌注会降低。

方法和分析

这项单中心、前瞻性、观察性研究将在比利时鲁汶大学医院的医疗重症监护病房对准备撤机的患者进行。将使用示踪剂吲哚菁绿染料通过近红外光谱(NIRS)同时评估大脑皮质(前额叶区域)、吸气(斜角肌)和呼气肌(腹直肌上部)以及非工作肌肉(大鱼际)的血流指数。测量将在MV期间和SBT期间的同一天进行。将连续记录NIRS衍生的组织氧合指数和心输出量(通过脉搏轮廓分析)。估计20名SBT失败的患者足以检测出SBT失败和成功患者之间从MV到SBT的大脑皮质灌注变化(主要结果)的显著差异。

伦理与传播

已获得当地伦理委员会的伦理批准(鲁汶大学医院研究伦理委员会协议编号:S60516)。本研究结果将在科学会议和大会上发表,并在同行评审期刊上发表。

试验注册号

NCT03240263;预结果。

https://cdn.ncbi.nlm.nih.gov/pmc/blobs/b06e/6830828/a1799e7caedd/bmjopen-2019-031072f01.jpg

文献AI研究员

20分钟写一篇综述,助力文献阅读效率提升50倍。

立即体验

用中文搜PubMed

大模型驱动的PubMed中文搜索引擎

马上搜索

文档翻译

学术文献翻译模型,支持多种主流文档格式。

立即体验