Choi Yu Hyeon, Jeong Hyung Joo, Lee Bongjin, An Hong Yul, Lee Eui Jun, Park June Dong
Department of Pediatrics, Seoul National University College of Medicine, Seoul, Korea.
Korean J Crit Care Med. 2017 May;32(2):211-217. doi: 10.4266/kjccm.2016.00283. Epub 2016 Dec 29.
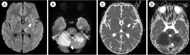
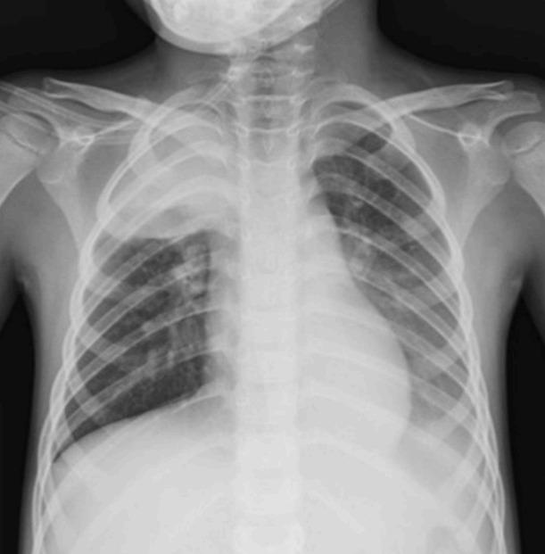
Acute cerebral infarctions are rare in children, however they can occur as a complication of a (MP) infection due to direct invasion, vasculitis, or a hypercoagulable state. We report on the case of a 5-year-old boy who had an extensive stroke in multiple cerebrovascular territories 10 days after the diagnosis of MP infection. Based on the suspicion that the cerebral infarction was associated with a macrolide-resistant MP infection, the patient was treated with levofloxacin, methyl-prednisolone, intravenous immunoglobulin, and enoxaparin. Despite this medical management, cerebral vascular narrowing progressed and a decompressive craniectomy became necessary for the patient's survival. According to laboratory tests, brain magnetic resonance imaging, and clinical manifestations, the cerebral infarction in this case appeared to be due to the combined effects of hypercoagulability and cytokine-induced vascular inflammation.
急性脑梗死在儿童中较为罕见,然而,它可能作为支原体(MP)感染的并发症出现,原因包括直接侵袭、血管炎或高凝状态。我们报告了一例5岁男孩的病例,该男孩在诊断为MP感染10天后,在多个脑血管区域发生了广泛的中风。基于脑梗死与大环内酯耐药MP感染相关的怀疑,该患者接受了左氧氟沙星、甲泼尼龙、静脉注射免疫球蛋白和依诺肝素治疗。尽管采取了这种治疗措施,脑血管狭窄仍在进展,为了患者存活,进行减压颅骨切除术成为必要。根据实验室检查、脑磁共振成像和临床表现,该病例中的脑梗死似乎是由于高凝状态和细胞因子诱导的血管炎症的联合作用所致。