Suppr超能文献

股骨骨软骨瘤导致坐骨股骨撞击、滑囊炎及继发性树状脂肪瘤,后者酷似恶性转化。

Femoral osteochondroma responsible for ischiofemoral impingement, bursitis, and secondary lipoma arborescens mimicking malignant transformation.

作者信息

Schubert Thomas, Navez Marie, Galant Christine, Docquier Pierre-Louis, Acid Souad, Lecouvet Frédéric E

机构信息

Department of Orthopedic Surgery, Institut de Recherche Expérimentale et Clinique (IREC), Cliniques Universitaires Saint Luc, Université Catholique de Louvain (UCLouvain), Brussels, Belgium.

Department of Radiology, Institut de Recherche Expérimentale et Clinique (IREC), Cliniques Universitaires Saint Luc, Université Catholique de Louvain (UCLouvain), Brussels, Belgium.

出版信息

Acta Radiol Open. 2019 Dec 11;8(12):2058460119892409. doi: 10.1177/2058460119892409. eCollection 2019 Dec.

Abstract

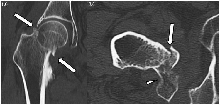
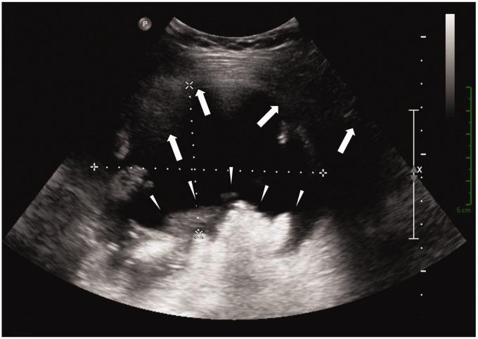
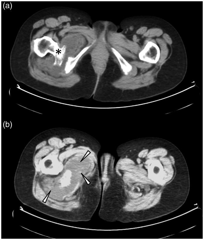
We present the case of a 53-year-old woman with a known history of hereditary multiple exostosis disease referred for further imaging work-up after ultrasound and computed tomography leading to the suspicion of malignant transformation of an osteochondroma (exostosis) located on the posteromedial aspect of the right proximal femur. Imaging examinations suggested an ischiofemoral impingement resulting in a secondary bursitis associated with the development of an internal lipoma arborescens. This rare association explained the complexity of the diagnosis. Magnetic resonance imaging (MRI) played a key role in correctly identifying this benign complication of the osteochondroma and in distinguishing those observations from a secondary exostotic chondrosarcoma. MRI findings were subsequently confirmed at surgery and pathological examination.

摘要

我们报告了一例53岁女性病例,该患者有遗传性多发性骨软骨瘤病病史。在超声和计算机断层扫描后,怀疑位于右股骨近端后内侧的骨软骨瘤(外生骨疣)发生恶变,遂进行进一步影像学检查。影像学检查提示坐骨股骨撞击,导致继发性滑囊炎,并伴有内部树状脂肪瘤的形成。这种罕见的关联解释了诊断的复杂性。磁共振成像(MRI)在正确识别骨软骨瘤的这种良性并发症以及将这些表现与继发性外生骨疣性软骨肉瘤区分开来方面发挥了关键作用。MRI结果随后在手术和病理检查中得到证实。

https://cdn.ncbi.nlm.nih.gov/pmc/blobs/c26e/6923803/45304bf70b37/10.1177_2058460119892409-fig1.jpg

文献AI研究员

20分钟写一篇综述,助力文献阅读效率提升50倍。

立即体验

用中文搜PubMed

大模型驱动的PubMed中文搜索引擎

马上搜索

文档翻译

学术文献翻译模型,支持多种主流文档格式。

立即体验