Suppr超能文献

抑制纤溶酶原激活物抑制剂-1可减轻小鼠肠道纤维化。

Inhibition of plasminogen activator inhibitor-1 attenuates against intestinal fibrosis in mice.

作者信息

Imai Jin, Yahata Takashi, Ichikawa Hitoshi, Ibrahim Abd Aziz, Yazawa Masaki, Sumiyoshi Hideaki, Inagaki Yutaka, Matsushima Masashi, Suzuki Takayoshi, Mine Tetsuya, Ando Kiyoshi, Miyata Toshio, Hozumi Katsuto

机构信息

Center for Matrix Biology and Medicine, Tokai University School of Medicine, Kanagawa, Japan.

Department of Gastroenterology, Tokai University School of Medicine, Kanagawa, Japan.

出版信息

Intest Res. 2020 Apr;18(2):219-228. doi: 10.5217/ir.2019.00037. Epub 2020 Feb 17.

Abstract

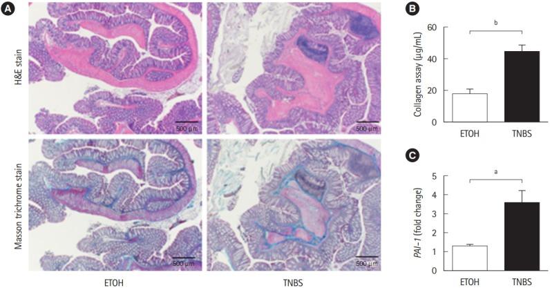
BACKGROUND/AIMS: Intestinal fibrosis is a major complication of Crohn's disease (CD). The profibrotic protein transforming growth factor-β (TGF-β) has been considered to be critical for the induction of the fibrotic program. TGF-β has the ability to induce not only the expression of extracellular matrix (ECM) including collagen, but also the production of plasminogen activator inhibitor-1 (PAI-1) that prevents enzymatic degradation of the ECM during the onset of fibrotic diseases. However, the significance of PAI-1 in the developing intestinal fibrosis has not been fully understood. In the present study, we examined the actual expression of PAI-1 in fibrotic legion of intestinal inflammation and its correlation with the abnormal ECM deposition.

METHODS

Chronic intestinal inflammation was induced in BALB/c mice using 8 repeated intrarectal injections of 2,4,6-trinitrobenzene sulfonic acid (TNBS). TM5275, a PAI-1 inhibitor, was orally administered as a carboxymethyl cellulose suspension each day for 2 weeks after the sixth TNBS injection.

RESULTS

Using a publicly available dataset (accession number, GSE75214) and TNBS-treated mice, we observed increases in PAI-1 transcripts at active fibrotic lesions in both patients with CD and mice with chronic intestinal inflammation. Oral administration of TM5275 immediately after the onset of intestinal fibrosis upregulated MMP-9 (matrix metalloproteinase 9) and decreased collagen accumulation, resulting in attenuation of the fibrogenesis in TNBS-treated mice.

CONCLUSIONS

PAI-1-mediated fibrinolytic system facilitates collagen degradation suppression. Hence, PAI-1 inhibitor could be applied as an anti-fibrotic drug in CD treatment.

摘要

背景/目的:肠道纤维化是克罗恩病(CD)的主要并发症。促纤维化蛋白转化生长因子-β(TGF-β)被认为对纤维化程序的诱导至关重要。TGF-β不仅能够诱导包括胶原蛋白在内的细胞外基质(ECM)的表达,还能诱导纤溶酶原激活物抑制剂-1(PAI-1)的产生,在纤维化疾病发生过程中防止ECM的酶促降解。然而,PAI-1在肠道纤维化发展中的意义尚未完全明确。在本研究中,我们检测了PAI-1在肠道炎症纤维化区域的实际表达及其与异常ECM沉积的相关性。

方法

通过对BALB/c小鼠进行8次直肠内注射2,4,6-三硝基苯磺酸(TNBS)诱导慢性肠道炎症。在第6次TNBS注射后,每天以羧甲基纤维素悬浮液口服给予PAI-1抑制剂TM5275,持续2周。

结果

利用公开可用数据集(登录号,GSE75214)和TNBS处理的小鼠,我们观察到CD患者和慢性肠道炎症小鼠的活跃纤维化病变处PAI-1转录本均增加。肠道纤维化开始后立即口服TM5275可上调基质金属蛋白酶9(MMP-9)并减少胶原蛋白积累,从而减轻TNBS处理小鼠的纤维化形成。

结论

PAI-1介导的纤溶系统促进了胶原蛋白降解的抑制。因此,PAI-1抑制剂可作为抗纤维化药物应用于CD治疗。

https://cdn.ncbi.nlm.nih.gov/pmc/blobs/d130/7206341/edf2975f61bc/ir-2019-00037f1.jpg

文献AI研究员

20分钟写一篇综述,助力文献阅读效率提升50倍。

立即体验

用中文搜PubMed

大模型驱动的PubMed中文搜索引擎

马上搜索

文档翻译

学术文献翻译模型,支持多种主流文档格式。

立即体验