Suppr超能文献

克罗恩病患者接受硫唑嘌呤治疗期间患肝硬化风险增加。

Increased Risk of Liver Cirrhosis during Azathioprine Therapy for Crohn's Disease.

作者信息

Roselli Jenny, Innocenti Tommaso, Lynch Erica Nicola, Parisio Laura, Macrì Giuseppe, Milla Monica, Mello Tommaso, Galli Andrea, Milani Stefano, Tarocchi Mirko

机构信息

Department of Experimental and Clinical Biomedical Sciences "Mario Serio", University of Florence, Florence, Italy.

出版信息

Case Rep Gastrointest Med. 2020 Jan 28;2020:6726384. doi: 10.1155/2020/6726384. eCollection 2020.

Abstract

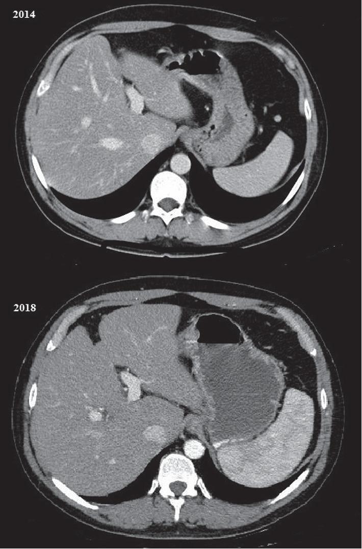
Azathioprine is a cornerstone of the therapy of Crohn's disease. Unfortunately, infections and malignancies are relatively common adverse effects related to this drug; however, cirrhosis is exceptionally reported as a side effect. We report the case of a 49-year-old male patient with ileocolonic steno-penetrating Crohn's disease who developed hepatic cirrhosis while treated with azathioprine. After taking azathioprine for 3 years with regular follow-up, he developed pancytopenia, and liver cirrhosis was diagnosed with ultrasound, abdomen computed tomography scan, transient elastography, and liver biopsy. As all other causes of liver damage were excluded, azathioprine was believed to be the cause of liver injury and therefore was interrupted.

摘要

硫唑嘌呤是克罗恩病治疗的基石。不幸的是,感染和恶性肿瘤是与该药物相关的相对常见的不良反应;然而,肝硬化作为一种副作用的报道极为罕见。我们报告一例49岁男性患者,患有回结肠狭窄穿透型克罗恩病,在接受硫唑嘌呤治疗时发生了肝硬化。在规律随访服用硫唑嘌呤3年后,他出现了全血细胞减少,通过超声、腹部计算机断层扫描、瞬时弹性成像和肝活检诊断为肝硬化。由于排除了所有其他肝损伤原因,认为硫唑嘌呤是肝损伤的原因,因此停用了该药。

https://cdn.ncbi.nlm.nih.gov/pmc/blobs/9fd4/7008285/215b7093c5e8/CRIGM2020-6726384.001.jpg

文献AI研究员

20分钟写一篇综述,助力文献阅读效率提升50倍。

立即体验

用中文搜PubMed

大模型驱动的PubMed中文搜索引擎

马上搜索

文档翻译

学术文献翻译模型,支持多种主流文档格式。

立即体验