Division of Developmental Biology, National Institute of Child Health and Human Development, National Institutes of Health, Bethesda, MD, 20892, USA.
Department of Cell Biology and Physiology, Washington University School of Medicine, St. Louis, MO, 63110, USA.
Nat Commun. 2020 Mar 5;11(1):1204. doi: 10.1038/s41467-020-14956-z.
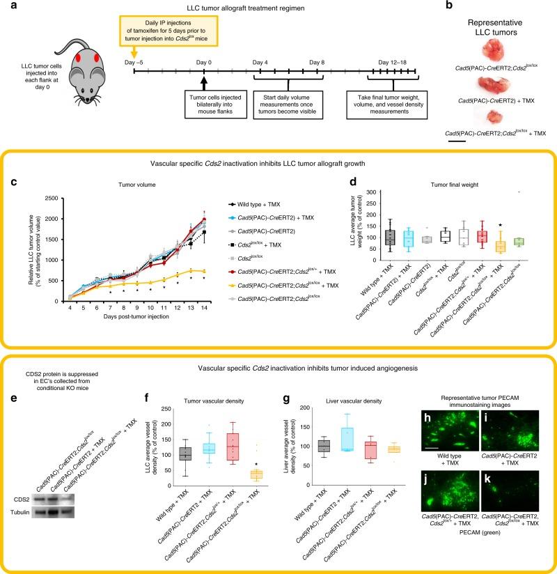
Anti-angiogenic therapies have generated significant interest for their potential to combat tumor growth. However, tumor overproduction of pro-angiogenic ligands can overcome these therapies, hampering success of this approach. To circumvent this problem, we target the resynthesis of phosphoinositides consumed during intracellular transduction of pro-angiogenic signals in endothelial cells (EC), thus harnessing the tumor's own production of excess stimulatory ligands to deplete adjacent ECs of the capacity to respond to these signals. Using zebrafish and human endothelial cells in vitro, we show ECs deficient in CDP-diacylglycerol synthase 2 are uniquely sensitive to increased vascular endothelial growth factor (VEGF) stimulation due to a reduced capacity to re-synthesize phosphoinositides, including phosphatidylinositol-(4,5)-bisphosphate (PIP2), resulting in VEGF-exacerbated defects in angiogenesis and angiogenic signaling. Using murine tumor allograft models, we show that systemic or EC specific suppression of phosphoinositide recycling results in reduced tumor growth and tumor angiogenesis. Our results suggest inhibition of phosphoinositide recycling provides a useful anti-angiogenic approach.
抗血管生成疗法因其潜在的抗肿瘤生长作用而引起了广泛关注。然而,肿瘤过度产生促血管生成配体可能会克服这些治疗方法,从而阻碍该方法的成功。为了解决这个问题,我们针对内皮细胞(EC)中促血管生成信号转导过程中消耗的磷酸肌醇的重新合成进行靶向治疗,从而利用肿瘤自身过量刺激配体的产生来耗尽相邻 EC 对这些信号的反应能力。通过在体外使用斑马鱼和人内皮细胞,我们发现由于重新合成磷酸肌醇的能力降低,CDP-二酰基甘油合酶 2 缺陷的 EC 对血管内皮生长因子(VEGF)刺激的敏感性独特,包括磷脂酰肌醇-(4,5)-二磷酸(PIP2),导致 VEGF 加剧的血管生成和血管生成信号缺陷。通过使用小鼠肿瘤移植模型,我们表明系统或 EC 特异性抑制磷酸肌醇的循环会导致肿瘤生长和肿瘤血管生成减少。我们的研究结果表明,抑制磷酸肌醇的循环为提供了一种有用的抗血管生成方法。