Jih Myeong Kwan, Kim Jin Soo
Department of Pediatric Dentistry, College of Dentistry, Chosun University, Gwangju, Korea.
Department of Oral and Maxillofacial Radiology, College of Dentistry, Chosun University, Gwangju, Korea.
Imaging Sci Dent. 2020 Mar;50(1):65-71. doi: 10.5624/isd.2020.50.1.65. Epub 2020 Mar 17.
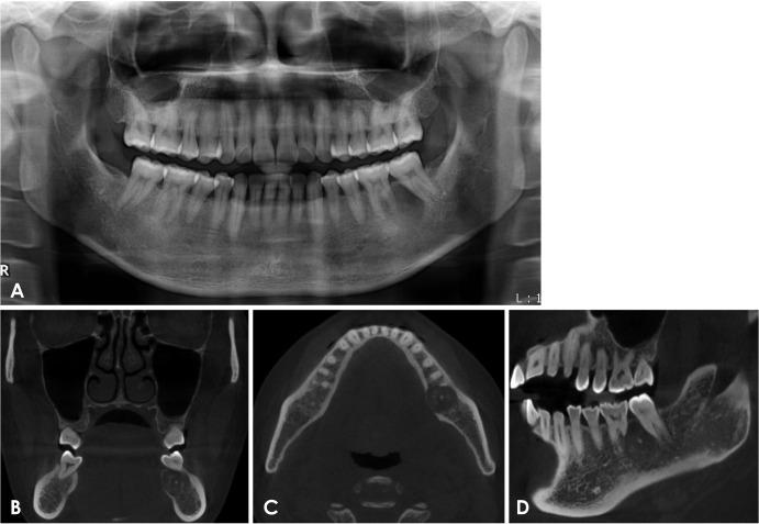
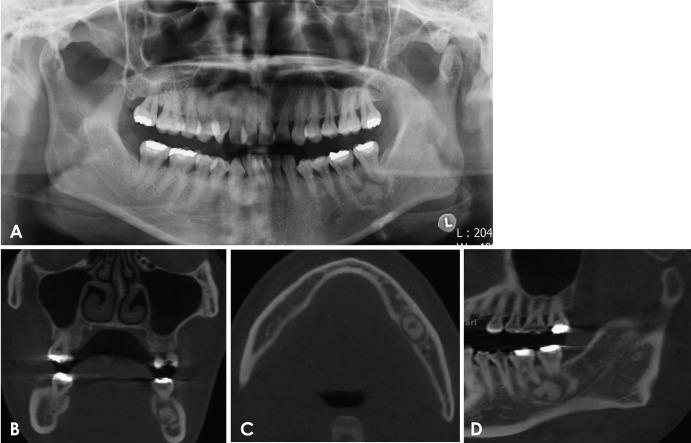
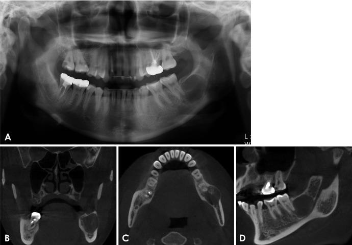
Ossifying fibroma is a slow-growing benign neoplasm that occurs most often in the jaws, especially the mandible. The tumor is composed of bone that develops within fibrous connective tissue. Some ossifying fibromas consist of cementum-like calcifications, while others contain only bony material; however, a mixture of these calcification types is commonly seen in a single lesion. Of the craniofacial bones, the mandible is the most commonly involved site, with the lesion typically inferior to the premolars and molars. Ossifying fibroma of the jaw shows a female predominance. Some reports of ossifying fibroma have been published in the literature; however, this report continues the research on this topic by detailing 3 types of ossifying fibroma findings on panoramic radiographs and cone-beam computed tomographic images of 4 patients. The radiographs of the presented cases could help clinicians understand the variations in the radiographic appearance of this lesion.
骨化性纤维瘤是一种生长缓慢的良性肿瘤,最常发生于颌骨,尤其是下颌骨。该肿瘤由在纤维结缔组织内形成的骨组织构成。一些骨化性纤维瘤由类牙骨质钙化组成,而另一些仅含有骨质材料;然而,在单个病变中通常可见这些钙化类型的混合。在颅面骨中,下颌骨是最常受累的部位,病变通常位于前磨牙和磨牙下方。颌骨骨化性纤维瘤以女性居多。文献中已发表了一些关于骨化性纤维瘤的报告;然而,本报告通过详细描述4例患者全景X线片和锥形束计算机断层扫描图像上的3种骨化性纤维瘤表现,继续对该主题进行研究。所呈现病例的X线片有助于临床医生了解该病变X线表现的差异。