Suppr超能文献

Sur-X,一种新型肽,通过靶向 survivin-XIAP 复合物杀死结直肠癌细胞。

Sur-X, a novel peptide, kills colorectal cancer cells by targeting survivin-XIAP complex.

机构信息

Department of Medical Oncology, The First Hospital of China Medical University, Shenyang, 110001, China.

Key Laboratory of Anticancer Drugs and Biotherapy of Liaoning Province, The First Hospital of China Medical University, Shenyang, 110001, China.

出版信息

J Exp Clin Cancer Res. 2020 May 7;39(1):82. doi: 10.1186/s13046-020-01581-3.

Abstract

BACKGROUND

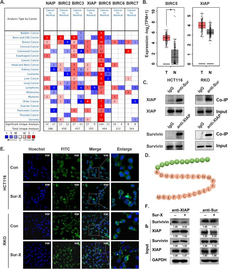
Survivin and XIAP are two important members of the inhibitor of apoptosis protein family and have been considered as potential targets for cancer treatment due to their overexpression in large variety of cancers including colorectal cancer. It has been reported that survivin and XIAP can synergistically inhibit apoptosis by forming survivin-XIAP complex. In this study, we aimed to design a peptide that targets the survivin-XIAP complex and elucidate its anticancer mechanisms in colorectal cancer cells.

METHODS

We designed and synthetized Sur-X, the peptide targeting survivin-XIAP complex. The anticancer effects of Sur-X were evaluated both in vitro and in vivo. The underlying molecular mechanisms were also investigated.

RESULTS

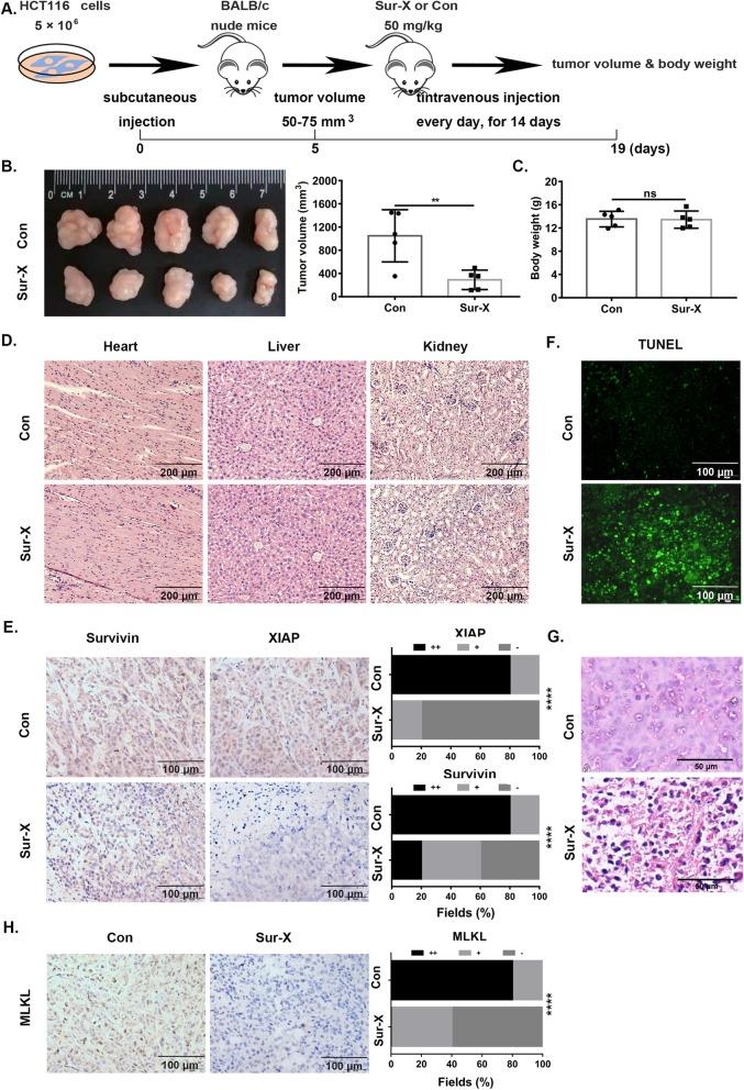
Sur-X exhibited potent inhibitory effects on four colorectal cancer cell lines HCT116, HCT15, RKO and HT29, but not on human peritoneal mesothelial cell line HMrSV5. Mechanistically, Sur-X induced Caspase 9-dependent intrinsic apoptosis in colorectal cancer cells by disrupting the survivin-XIAP complex and subsequently destabilizing survivin and XIAP. Interestingly, we found that Sur-X can also promote necroptosis. It was demonstrated that Sur-X destroyed the interaction between XIAP and TAB1 in the XIAP-TAB1-TAK1 complex, leading to the instability of TAK1, an endogenous necroptosis inhibitor. Subsequently, the accelerated degradation of TAK1 attenuated its inhibition on necroptosis in colorectal cancer cells. Moreover, knockdown of TAK1 restored the sensitivity of TAB1-overexpressing colorectal cancer cells to Sur-X-induced necroptosis. The in vivo pro-apoptotic effect of Sur-X was confirmed by the enhanced TUNEL staining and the decreased expression of survivin and XIAP in tumor tissues from xenograft mouse models. In addition, extensive necrosis and weaker MLKL expression in xenografts provided evidence for the in vivo pro-necroptotic effect of Sur-X.

CONCLUSIONS

Peptide Sur-X exhibits strong pro-apoptotic and pro-necroptotic effects in colorectal cancer cells and has a high clinical translation potential in the treatment of colorectal cancer.

摘要

背景

Survivin 和 XIAP 是凋亡抑制蛋白家族的两个重要成员,由于它们在包括结直肠癌在内的多种癌症中过度表达,因此被认为是癌症治疗的潜在靶点。已有报道称,Survivin 和 XIAP 可以通过形成 Survivin-XIAP 复合物协同抑制细胞凋亡。在本研究中,我们旨在设计一种针对 Survivin-XIAP 复合物的肽,并阐明其在结直肠癌细胞中的抗癌机制。

方法

我们设计并合成了靶向 Survivin-XIAP 复合物的肽 Sur-X。在体外和体内评估了 Sur-X 的抗癌作用。还研究了潜在的分子机制。

结果

Sur-X 对四种结直肠癌细胞系 HCT116、HCT15、RKO 和 HT29 表现出强大的抑制作用,但对人腹膜间皮细胞系 HMrSV5 没有作用。机制上,Sur-X 通过破坏 Survivin-XIAP 复合物,随后使 Survivin 和 XIAP 不稳定,诱导 Caspase 9 依赖性内在凋亡。有趣的是,我们发现 Sur-X 还可以促进坏死性凋亡。结果表明,Sur-X 破坏了 XIAP-TAB1-TAK1 复合物中 XIAP 与 TAB1 的相互作用,导致内源性坏死性凋亡抑制剂 TAK1 不稳定。随后,TAK1 的加速降解减弱了其对结直肠癌细胞中坏死性凋亡的抑制作用。此外,TAK1 的敲低恢复了 TAB1 过表达结直肠癌细胞对 Sur-X 诱导的坏死性凋亡的敏感性。Sur-X 在体内的促凋亡作用通过增强肿瘤组织中的 TUNEL 染色和降低肿瘤组织中 Survivin 和 XIAP 的表达得到证实。此外,异种移植瘤中广泛的坏死和较弱的 MLKL 表达为 Sur-X 在体内的促坏死性凋亡作用提供了证据。

结论

肽 Sur-X 在结直肠癌细胞中表现出强烈的促凋亡和促坏死性凋亡作用,具有在结直肠癌治疗中进行临床转化的巨大潜力。

https://cdn.ncbi.nlm.nih.gov/pmc/blobs/5624/7203900/3d661db3dfc4/13046_2020_1581_Fig1_HTML.jpg

文献AI研究员

20分钟写一篇综述,助力文献阅读效率提升50倍。

立即体验

用中文搜PubMed

大模型驱动的PubMed中文搜索引擎

马上搜索

文档翻译

学术文献翻译模型,支持多种主流文档格式。

立即体验