Suppr超能文献

病例报告:计划行胰头切除术前的虚拟交互式三维血管重建与复杂血管解剖:胰腺手术新可视化技术从实验台到临床的转化

Case Report: Virtual and Interactive 3D Vascular Reconstruction Before Planned Pancreatic Head Resection and Complex Vascular Anatomy: A Bench-To-Bedside Transfer of New Visualization Techniques in Pancreatic Surgery.

作者信息

Templin Robert, Tabriz Navid, Hoffmann Martin, Uslar Verena Nicole, Lück Thomas, Schenk Andrea, Malaka Rainer, Zachmann Gabriel, Kluge Alexander, Weyhe Dirk

机构信息

University Hospital for Visceral Surgery, Pius-Hospital, Carl von Ossietzky University Oldenburg, Oldenburg, Germany.

cirp GmbH, Heimsheim, Germany.

出版信息

Front Surg. 2020 Jun 18;7:38. doi: 10.3389/fsurg.2020.00038. eCollection 2020.

Abstract

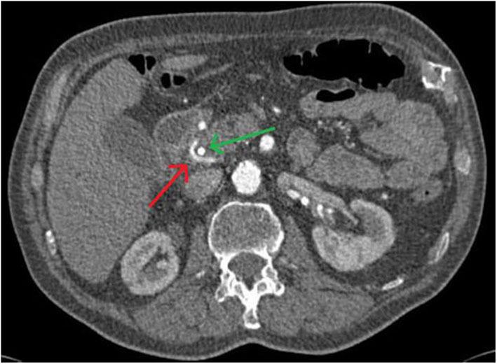
Bühler's anastomosis (or Bühler's arcade) is an embryonic relic and represents an arterio-arterial connection between the superior mesenteric artery and the celiac trunk. It can be found as a variety in 1-2% of patients. We present a case of a patient with metatastatic squamous cell carcinoma of the lung. The patient was in stable disease for 4 years under palliative therapy (most recently second-line therapy with Nevolumab). In 2019, a locally advanced adenocarcinoma of the papilla vateri was diagnosed, additionally. The patient also underwent right hemicolectomy and patch plasty of the celiac trunk and superior mesenteric artery due to colonic ischemia and arteriosclerotic disease with 50-70% stenosis of the superior mesenteric artery several years ago. Due to a complex vascular prehistory, the standardized preoperative imaging was supplemented by two independent vascular reconstructions (a CT angiogram and a reconstruction based on the CT) for the planning of a pylorus-preserving pancreatic head resection and reconstruction according to Traverso-Longmire. In addition, a 3D print was produced. Both, the reconstruction based on the CT scan and the 3D print were created for off-label use as a part of a research project (VIVATOP: Versatile Immersive Virtual and Augmented Tangible OP). In the standardized CT scan and in the clinical CT-angiography, there were no obvious surgically relevant anatomical variations. A Bühler anastomosis was detected in a digital, virtual and interactive 3D-reconstruction. In addition, in the 3D print of the abdominal site the anastomosis was seen as well. Intraoperatively, the presence of Bühler's anastomosis was confirmed. This information had a significant impact on the intraoperative approach. Retrospectively, the vessel variant could be surmised in the axial projection of the CT scan, if one knew what to look for. For the conduction of a safe surgical procedure, it is imperative that rare anatomical variations are known preoperatively. Increasing digitalization in surgical and perioperative preparation holds great potential for better planning and improved patient safety. Research and cooperation projects such as the VIVATOP project are instrumental for the development of new visualization techniques, which are able to enhance the understanding of complex anatomical relations.

摘要

比勒吻合术(或比勒血管弓)是一种胚胎遗迹,代表肠系膜上动脉与腹腔干之间的动脉-动脉连接。在1%-2%的患者中可发现其存在多种类型。我们报告一例肺转移性鳞状细胞癌患者。该患者在姑息治疗(最近为纳武单抗二线治疗)下病情稳定4年。此外,2019年诊断出壶腹周围局部晚期腺癌。几年前,该患者还因结肠缺血和动脉硬化性疾病,肠系膜上动脉狭窄50%-70%,接受了右半结肠切除术以及腹腔干和肠系膜上动脉补片成形术。由于血管病史复杂,在根据特拉弗索-朗迈尔法进行保留幽门的胰头切除和重建手术规划时,标准化的术前影像通过两次独立的血管重建(一次CT血管造影和一次基于CT的重建)进行补充。此外,还制作了一个3D打印模型。基于CT扫描的重建和3D打印模型均作为一个研究项目(VIVATOP:多功能沉浸式虚拟和增强实体手术)的一部分用于非标签用途。在标准化CT扫描和临床CT血管造影中,未发现明显的与手术相关的解剖变异。在数字化、虚拟和交互式3D重建中检测到了比勒吻合术。此外,在腹部区域的3D打印模型中也看到了该吻合术。术中证实了比勒吻合术的存在。这一信息对术中操作方法产生了重大影响。回顾性分析,如果知道要寻找什么,在CT扫描的轴向投影中可以推测出血管变异。为了进行安全的外科手术,术前了解罕见的解剖变异至关重要。手术和围手术期准备中日益增加的数字化对于更好的手术规划和提高患者安全性具有巨大潜力。像VIVATOP项目这样的研究与合作项目有助于开发新的可视化技术,能够增强对复杂解剖关系的理解。

https://cdn.ncbi.nlm.nih.gov/pmc/blobs/dc39/7314924/43f22bbab0dc/fsurg-07-00038-g0001.jpg

相似文献

3
Virtual Reality Exploration and Planning for Precision Colorectal Surgery.
Dis Colon Rectum. 2018 Jun;61(6):719-723. doi: 10.1097/DCR.0000000000001077.
4
[Arterial reconstruction in pancreatic carcinoma –demonstration of surgical techniques].
Zentralbl Chir. 2014 Jun;139(3):261-4. doi: 10.1055/s-0034-1368573. Epub 2014 Jun 26.
7
Arc of Bühler: the surgical significance of a rare anatomical variation.
Surg Radiol Anat. 2019 May;41(5):575-581. doi: 10.1007/s00276-018-2168-0. Epub 2018 Dec 14.
9
A significant vascular variant in oncologic pancreaticoduodenectomy: the arc of Buhler.
Surg Case Rep. 2022 Mar 2;8(1):37. doi: 10.1186/s40792-022-01387-9.

引用本文的文献

1
Primary Adenocarcinoma of the Lesser Omentum: A Case Report.
Clin Case Rep. 2025 Apr 8;13(4):e70408. doi: 10.1002/ccr3.70408. eCollection 2025 Apr.
3
3D printing in palliative medicine: systematic review.
BMJ Support Palliat Care. 2024 Dec 19;14(e3):e2244-e2253. doi: 10.1136/bmjspcare-2021-003196.
5
Beyond the visible: preliminary evaluation of the first wearable augmented reality assistance system for pancreatic surgery.
Int J Comput Assist Radiol Surg. 2025 Jan;20(1):117-129. doi: 10.1007/s11548-024-03131-0. Epub 2024 Jun 7.
7
Patient-Specific 3D-Printed Low-Cost Models in Medical Education and Clinical Practice.
Micromachines (Basel). 2023 Feb 16;14(2):464. doi: 10.3390/mi14020464.
8
Therapeutic experience of a pancreatic mixed serous neuroendocrine neoplasm invading peripancreatic vessels: A case report.
Medicine (Baltimore). 2022 Sep 2;101(35):e30323. doi: 10.1097/MD.0000000000030323.
9
A significant vascular variant in oncologic pancreaticoduodenectomy: the arc of Buhler.
Surg Case Rep. 2022 Mar 2;8(1):37. doi: 10.1186/s40792-022-01387-9.

本文引用的文献

2
VR Simulation Leads to Enhanced Procedural Confidence for Surgical Trainees.
J Surg Educ. 2020 Jan-Feb;77(1):213-218. doi: 10.1016/j.jsurg.2019.08.008. Epub 2019 Aug 26.
3
Usefulness of virtual three-dimensional image analysis in inguinal hernia as an educational tool.
Surg Endosc. 2020 May;34(5):1923-1928. doi: 10.1007/s00464-019-06964-y. Epub 2019 Jul 16.
4
Feasibility of using a low-cost head-mounted augmented reality device in the operating room.
Surg Neurol Int. 2019 Feb 28;10:26. doi: 10.4103/sni.sni_228_18. eCollection 2019.
6
Virtual reality simulator versus box-trainer to teach minimally invasive procedures: A meta-analysis.
Int J Surg. 2019 Jan;61:60-68. doi: 10.1016/j.ijsu.2018.12.001. Epub 2018 Dec 6.
7
Application and evaluation of interactive 3D PDF for presenting and sharing planning results for liver surgery in clinical routine.
PLoS One. 2014 Dec 31;9(12):e115697. doi: 10.1371/journal.pone.0115697. eCollection 2014.
8
Anatomic variations of arterial liver vascularization: an analysis by using MDCTA.
Surg Radiol Anat. 2011 Sep;33(7):559-68. doi: 10.1007/s00276-011-0778-x. Epub 2011 Jan 20.

文献AI研究员

20分钟写一篇综述,助力文献阅读效率提升50倍。

立即体验

用中文搜PubMed

大模型驱动的PubMed中文搜索引擎

马上搜索

文档翻译

学术文献翻译模型,支持多种主流文档格式。

立即体验