Suppr超能文献

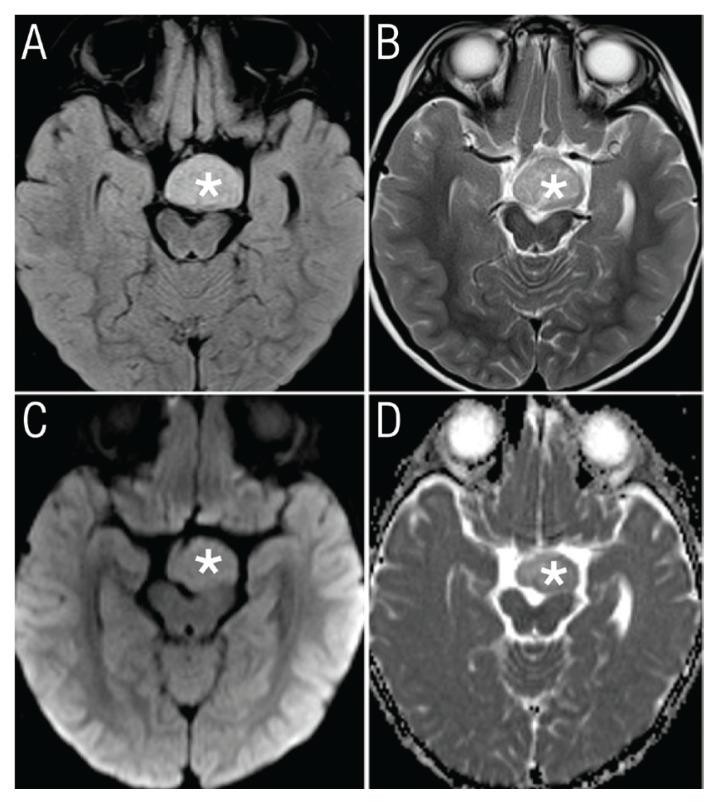
Inappropriate Laughter in a Patient with Hypothalamic Hamartoma.

作者信息

Al Kalbani Faris, Ahmad Faraz, Elmanzalawy Alaa, Al Futaisi Amna

机构信息

Department of Child Health, Oman Medical Specialty Board, Muscat, Oman.

Department of Child Health, Sultan Qaboos University Hospital, Muscat, Oman.

出版信息

Sultan Qaboos Univ Med J. 2020 May;20(2):e231-e233. doi: 10.18295/squmj.2020.20.02.016. Epub 2020 Jun 28.

Abstract
摘要
https://cdn.ncbi.nlm.nih.gov/pmc/blobs/3bee/7328839/79ffe625e753/squmj2005-e231-233f1.jpg

文献AI研究员

20分钟写一篇综述,助力文献阅读效率提升50倍。

立即体验

用中文搜PubMed

大模型驱动的PubMed中文搜索引擎

马上搜索

文档翻译

学术文献翻译模型,支持多种主流文档格式。

立即体验