Section of Pathology, D.E.T.O. (Department of Emergency and Organ Transplantation), University of Bari, Piazza Giulio Cesare 11, 70124, Bari, BA, Italy.
Diagn Pathol. 2020 Jul 18;15(1):88. doi: 10.1186/s13000-020-01014-x.
Malacoplakia is a rare chronic inflammatory disease. The name derives from the Greek "μαλακός" meaning "soft" and "πλάξ" meaning "plaque", describing its usual macroscopic presentation as a friable yellow soft plaque. It was first described by von Hansemann in 1901 and by Michaelis and Gutmann in 1902. The urinary system is the most commonly involved site. Female genital tract involvement is extremely rare. Treatment is prevalently based on antibiotics with surgical intervention sometimes necessary. Prognosis is usually good, but relapse may frequently occur.
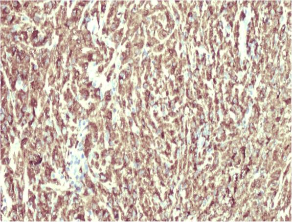
This report illustrates the first case of endometrial malacoplakia in a 40 years-old patient who received endometrial curettage due to the retention of placental rests following an abortion. After conspicuous vaginal sero-hematic secretions, the patient received a further curettage. The histological examination did not show any retention of chorionic rests, but an endometrial and myometrial infiltration of histiocytes with large granular cytoplasm within a chronic inflammatory background. Immunoreactivity for CK-pool was negative, while CD68 immunostaining was strongly positive.
Malacoplakia of endometrium is an extremely rare condition, with few cases reported in the whole international literature. In this paper, we present the first case associated to an abortion followed by endometrial curettage procedures. This rare disease should always be attentively examined, considering, among differential diagnoses, uterine neoplasms or physiological conditions such as cumulus of foamy macrophages in the endometrium.
黏膜软斑病是一种罕见的慢性炎症性疾病。其名称来源于希腊语“μαλακός”,意思是“柔软的”,“πλάξ”,意思是“斑块”,描述了其通常的宏观表现为易碎的黄色软斑块。它于 1901 年由冯·汉斯曼首次描述,1902 年由迈克尔和古特曼描述。泌尿系统是最常受累的部位。女性生殖道受累极为罕见。治疗主要基于抗生素,有时需要手术干预。预后通常良好,但复发可能经常发生。
本报告介绍了首例子宫内膜软斑病患者,患者为 40 岁女性,因流产后胎盘残留物而接受刮宫术。在明显的阴道血性分泌物后,患者接受了进一步的刮宫术。组织学检查未显示任何绒毛膜残留物,但在慢性炎症背景下可见子宫内膜和子宫肌层有大颗粒状细胞质的组织细胞浸润。CK-池免疫反应为阴性,而 CD68 免疫染色呈强阳性。
子宫内膜软斑病是一种极其罕见的疾病,在整个国际文献中仅有少数病例报道。在本文中,我们报告了首例与刮宫术相关的流产后子宫内膜软斑病。这种罕见疾病应始终引起重视,在鉴别诊断中,除了考虑子宫肿瘤或生理状况(如子宫内膜内泡沫状巨噬细胞堆积)外,还应考虑到这种疾病。