Suppr超能文献

一名感染新冠病毒的儿童出现完全性心脏传导阻滞、严重心室功能障碍和心肌炎症

Complete Heart Block, Severe Ventricular Dysfunction, and Myocardial Inflammation in a Child With COVID-19 Infection.

作者信息

El-Assaad Iqbal, Hood-Pishchany M Indriati, Kheir John, Mistry Kshitij, Dixit Avika, Halyabar Olha, Mah Douglas Y, Meyer-Macaulay Colin, Cheng Henry

机构信息

Department of Cardiology, Boston Children's Hospital, Boston, Massachusetts.

Division of Infectious Disease, Department of Pediatrics, Boston Children's Hospital, Boston, Massachusetts.

出版信息

JACC Case Rep. 2020 Jul 15;2(9):1351-1355. doi: 10.1016/j.jaccas.2020.05.023. Epub 2020 May 19.

Abstract

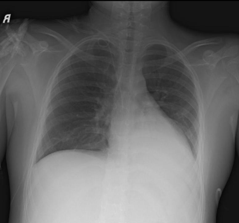
A young child presented with severe ventricular dysfunction and troponin leak in the setting of coronavirus disease-2019. He developed intermittent, self-resolving, and hemodynamically insignificant episodes of complete heart block that were diagnosed on telemetry and managed conservatively. This report is the first description of coronavirus disease-2019-induced transient complete heart block in a child. ().

摘要

一名幼儿在2019冠状病毒病的情况下出现严重心室功能障碍和肌钙蛋白泄漏。他出现了间歇性、自行缓解且血流动力学无显著意义的完全性心脏传导阻滞发作,通过遥测诊断并采取保守治疗。本报告首次描述了2019冠状病毒病诱发儿童短暂性完全性心脏传导阻滞的情况。

https://cdn.ncbi.nlm.nih.gov/pmc/blobs/f2d2/8312008/34050145d1a1/fx1.jpg

文献AI研究员

20分钟写一篇综述,助力文献阅读效率提升50倍。

立即体验

用中文搜PubMed

大模型驱动的PubMed中文搜索引擎

马上搜索

文档翻译

学术文献翻译模型,支持多种主流文档格式。

立即体验