Suppr超能文献

急性阑尾炎所致肠梗阻

Intestinal Obstruction due to Acute Appendicitis.

作者信息

Hong Duc Pham, Minh Xuan Ngo, Huu Thuyet Nguyen, Quang Huy Huynh

机构信息

Department of Radiology, Ha Noi Medical University, Ha Noi, Vietnam.

Department of Radiology, Pham Ngoc Thach University of Medicine, Ho Chi Minh City, Vietnam.

出版信息

Case Rep Gastroenterol. 2020 Jul 22;14(2):346-353. doi: 10.1159/000508435. eCollection 2020 May-Aug.

Abstract

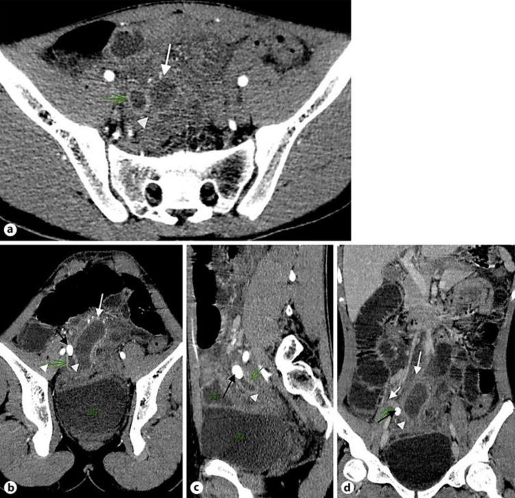
Acute appendicitis has been proven to be a usual cause of mechanical small bowel obstruction since 1901, but there has been very little specific research on this subject. It usually occurs as an effect of adhesion because of periappendicular inflammation. Although previous studies exist, this presentation of acute appendicitis is not widely identified, which might lead to delays in making the right diagnosis and initiating treatment. We herein report a 17-year-old male patient who presented with the clinical manifestations of intestinal obstruction and fever for 3 days. Preoperative ultrasound and subsequent computed tomography were performed. On laparotomy, an obstructed bowel was seen, and the appendix was recognized to be the cause. We herein report a case of intestinal obstruction due to acute appendicitis and present an overview of the literature.

摘要

自1901年以来,急性阑尾炎已被证实是机械性小肠梗阻的常见原因,但关于这一主题的具体研究很少。它通常是由于阑尾周围炎症导致粘连的结果。尽管此前已有相关研究,但急性阑尾炎的这种表现并未得到广泛认识,这可能导致诊断延误和治疗延迟。我们在此报告一名17岁男性患者,他出现肠梗阻和发热的临床表现达3天。术前进行了超声检查及随后的计算机断层扫描。剖腹手术时,发现一段肠管梗阻,阑尾被确认为病因。我们在此报告一例因急性阑尾炎导致肠梗阻的病例,并对相关文献进行综述。

https://cdn.ncbi.nlm.nih.gov/pmc/blobs/4968/7443656/dcc2ec84818d/crg-0014-0346-g01.jpg

相似文献

1
Intestinal Obstruction due to Acute Appendicitis.
Case Rep Gastroenterol. 2020 Jul 22;14(2):346-353. doi: 10.1159/000508435. eCollection 2020 May-Aug.
2
5
Acute appendicitis as a rare cause of mechanical small bowel obstruction case report.
Qatar Med J. 2017 Jul 3;2017(2):4. doi: 10.5339/qmj.2017.4. eCollection 2017.
6
Case report--mechanical bowel obstruction with appendicitis without strangulation and leukocytosis.
Ann Med Surg (Lond). 2021 Feb 4;63:102152. doi: 10.1016/j.amsu.2021.01.100. eCollection 2021 Mar.
7
Duodenal Obstruction Caused by Acute Appendicitis with Intestinal Malrotation in a Child.
Am J Case Rep. 2015 Aug 27;16:574-6. doi: 10.12659/AJCR.894311.
10
Acute appendicitis mimicking intestinal obstruction in a patient with cystic fibrosis.
J Formos Med Assoc. 2012 Oct;111(10):580-3. doi: 10.1016/j.jfma.2012.07.011. Epub 2012 Sep 10.

本文引用的文献

1
3
INTESTINAL OBSTRUCTION CAUSED BY APPENDICITIS: A SYSTEMATIC REVIEW.
J West Afr Coll Surg. 2017 Jul-Sep;7(3):94-115.
4
Appendicitis as a rare cause of mechanical small-bowel obstruction: A literature review of case reports.
Int J Surg Case Rep. 2016;29:180-184. doi: 10.1016/j.ijscr.2016.10.065. Epub 2016 Oct 31.
5
Appendiceal tie syndrome: A very rare complication of a common disease.
World J Gastrointest Surg. 2015 Apr 27;7(4):67-70. doi: 10.4240/wjgs.v7.i4.67.
6
Acute appendicitis presenting as small bowel obstruction: two case reports.
Cases J. 2009 Nov 28;2:9106. doi: 10.1186/1757-1626-2-9106.
7
Appendicitis as a cause of intestinal strangulation: a case report and review.
World J Emerg Surg. 2009 Oct 10;4:34. doi: 10.1186/1749-7922-4-34.
8
Small bowel obstruction secondary to an appendiceal tourniquet.
Ir J Med Sci. 2009 Mar;178(1):101-5. doi: 10.1007/s11845-008-0125-3. Epub 2008 Feb 7.
9
III. The Prevention of Intestinal Obstruction Following Operation for Appendicitis.
Ann Surg. 1909 Feb;49(2):192-207. doi: 10.1097/00000658-190902000-00003.
10

文献AI研究员

20分钟写一篇综述,助力文献阅读效率提升50倍。

立即体验

用中文搜PubMed

大模型驱动的PubMed中文搜索引擎

马上搜索

文档翻译

学术文献翻译模型,支持多种主流文档格式。

立即体验