Suppr超能文献

关于(霍斯菲尔德,1823年)(啮齿目,松鼠科)来自马拉泰阿地区(意大利南部)松鼠的系统病理结果报告,以调查物种特异性病理学、二氧化碳安乐死方法的可靠性以及作为环境哨兵的可能性。

Systematic Pathologic Findings Report of (Horsfield, 1823) (Rodentia, Sciuridae) Squirrels from Maratea area (South Italy) to Investigate Species-Specific Pathologies, Reliability of CO Euthanasia Method, and Possible Use as Environmental Sentinels.

作者信息

Passantino Giuseppe, Tursi Massimiliano, Vercelli Cristina, Filippi Ilaria, Decaro Nicola, Tinelli Antonella, Valente Luciana, Leone Rosa, Zizzo Nicola

机构信息

Department of Veterinary Medicine, University of Bari "Aldo Moro", Strada Prov.le per Casamassima Km. 3 70010 Valenzano (Bari), Italy.

Department of Veterinary Sciences, School of Agriculture and Veterinary Medicine, University of Turin Largo Braccini 2, 10095 Grugliasco (Turin), Italy.

出版信息

Animals (Basel). 2020 Sep 30;10(10):1771. doi: 10.3390/ani10101771.

Abstract

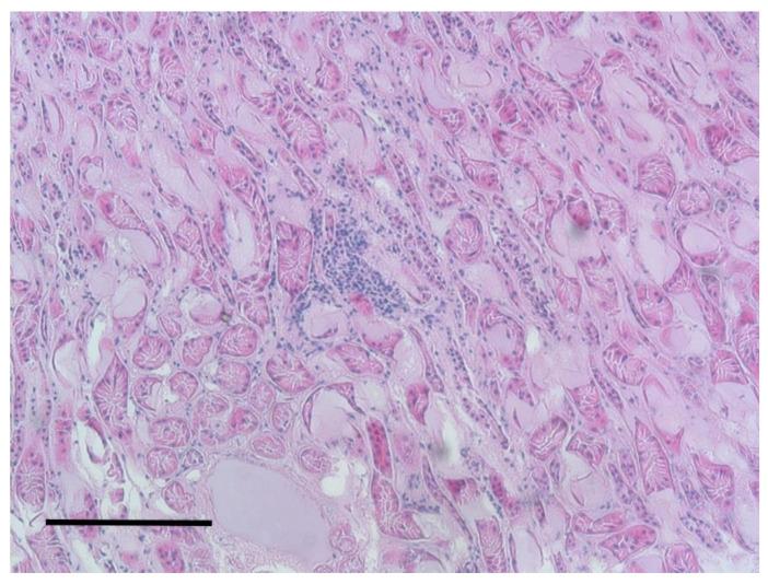
The aim of the present study was to macroscopically and microscopically describe the main pathological findings occurring in this invasive species, in order to better understand the real risks for naïve animals and humans. The present study was conducted on squirrels (n = 165), captured in the Maratea area and euthanatized with CO according to a population control of invasive species of the Italian Agriculture Ministry project (ex CIPE project) and conferred to the Department of Veterinary Medicine of Bari (Italy). Macroscopic analysis demonstrated heart, lung, and liver congestion, probably due to the euthanasia method, and variable lesions of bowel, liver, and kidney. The microscopically examination showed the presence of lymphocytic infiltration in the lower layers of the bowel, suggesting enteritis. To the best of our knowledge, this is the first systemic report of gross and microscopical anatomopathological lesions in in South Italy. The results could be useful to fill a gap of knowledge of this species in Italy.

摘要

本研究的目的是从宏观和微观层面描述这种入侵物种出现的主要病理发现,以便更好地了解对未接触过该物种的动物和人类的实际风险。本研究对在马拉泰地区捕获的松鼠(n = 165)进行,根据意大利农业部项目(原CIPE项目)对入侵物种的种群控制,用一氧化碳使其安乐死,并送交意大利巴里兽医学院。宏观分析显示心脏、肺和肝脏充血,这可能是由于安乐死方法导致的,同时肠道、肝脏和肾脏有不同程度的病变。显微镜检查显示肠道下层存在淋巴细胞浸润,提示有肠炎。据我们所知,这是意大利南部关于该物种大体和微观解剖病理学病变的首份系统性报告。这些结果可能有助于填补意大利对该物种认识的空白。

https://cdn.ncbi.nlm.nih.gov/pmc/blobs/487b/7600486/5b17949d619e/animals-10-01771-g001.jpg

文献AI研究员

20分钟写一篇综述,助力文献阅读效率提升50倍。

立即体验

用中文搜PubMed

大模型驱动的PubMed中文搜索引擎

马上搜索

文档翻译

学术文献翻译模型,支持多种主流文档格式。

立即体验