Suppr超能文献

壁内肿物:肠系膜纤维瘤病——一例罕见病例报告

Ball in the Wall: Mesenteric Fibromatosis-a Rare Case Report.

作者信息

Deshpande Abhinav, Tamhane Ankita, Deshpande Y S, Pagey Radhika, Pangarkar Meena

机构信息

National Cancer Institute,Nagpur, 25, Outer Hingna Ring Road, Mouza-Jamtha, Nagpur,, 441108 Maharashtra India.

Deshpande Nursing Home, Nagpur, India.

出版信息

Indian J Surg Oncol. 2020 Sep;11(Suppl 1):73-77. doi: 10.1007/s13193-020-01070-1. Epub 2020 Apr 25.

Abstract

INTRODUCTION

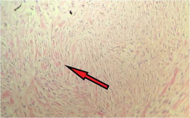
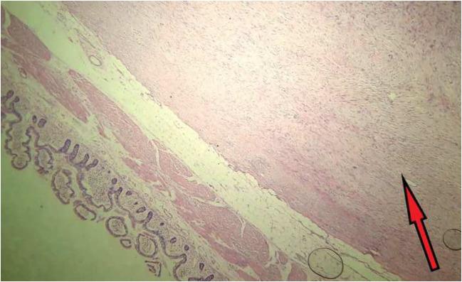
Mesenteric fibromatosis-desmoid tumor of mesentery is a rare benign soft tissue tumor of mesentery. On CT, it mimics gastrointestinal stromal tumor (GIST).

CASE REPORT

A 44-year-old female with small intestinal mass, preoperatively diagnosed radiologically and pathologically as GIST.

CONCLUSION

Mesenteric fibromatosis is a rare tumor often mistaken for GIST. Histopathology and immunohistochemistry is the key as management of both the tumors differs.

摘要

引言

肠系膜纤维瘤病——肠系膜硬纤维瘤是一种罕见的肠系膜良性软组织肿瘤。在CT上,它类似胃肠道间质瘤(GIST)。

病例报告

一名44岁女性,有小肠肿物,术前经影像学和病理诊断为GIST。

结论

肠系膜纤维瘤病是一种罕见肿瘤,常被误诊为GIST。组织病理学和免疫组化是关键,因为这两种肿瘤的治疗方法不同。

https://cdn.ncbi.nlm.nih.gov/pmc/blobs/721e/7534782/ed28b66fafd1/13193_2020_1070_Fig1_HTML.jpg

文献AI研究员

20分钟写一篇综述,助力文献阅读效率提升50倍。

立即体验

用中文搜PubMed

大模型驱动的PubMed中文搜索引擎

马上搜索

文档翻译

学术文献翻译模型,支持多种主流文档格式。

立即体验