Suppr超能文献

MCC950 通过抑制 IL-1β 和胰岛细胞死亡来抑制 NLRP3 炎性体,从而改善胰岛移植的代谢结局。

Inhibition of NLRP3 inflammasome by MCC950 improves the metabolic outcome of islet transplantation by suppressing IL-1β and islet cellular death.

机构信息

Department of Regenerative Medicine and Transplantation, Fukuoka University, 7-45-1 Nanakuma Jonan-ku, Fukuoka, 814-0180, Japan.

Department of Gastroenterological Surgery, Fukuoka University, Fukuoka, Japan.

出版信息

Sci Rep. 2020 Oct 21;10(1):17920. doi: 10.1038/s41598-020-74786-3.

Abstract

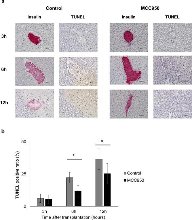
Early rejection is a critical issue to be overcome to achieve successful islet transplantation. NLRP3 inflammasome is a protein complex that mediates the maturation of pro-interleukin (IL)-1β and pro-IL-18 to IL-1β and IL-18, respectively, which induce cellular death. Here, we investigated the impact of NLRP3 inflammasome and the effect of its inhibition by MCC950 in a rodent model of islet transplantation. We assessed the therapeutic effects of MCC950, a specific inhibitor of NLRP3 inflammasome, on gene expression, islet survival ratio and viability, and islet transplantation in mice. NLRP3 inflammasome-related gene (Nlrp3 and Il1b) expression was upregulated in islets stimulated with proinflammatory cytokines and suppressed when incubated with MCC950. Survival ratio and viability of incubated islets were reduced by cytokine stimulation and improved by MCC950. Regarding islet transplantation, the number of apoptotic cells in transplanted islets was reduced by MCC950. Furthermore, the expression of IL-1β in transplanted islets, migration of macrophages around islets, and fluctuation of blood glucose levels were suppressed by MCC950. Our study revealed that NLRP3 inflammasome worsened the therapeutic outcomes of islet transplantation and that MCC950 administration improved glycaemic control in syngeneic mice that underwent islet transplantation by inhibiting inflammation, which suppressed islet death.

摘要

早期排斥是实现胰岛成功移植需要克服的一个关键问题。NLRP3 炎性体是一种蛋白复合物,介导前白细胞介素(IL)-1β和前白细胞介素(IL)-18 分别成熟为 IL-1β和 IL-18,从而诱导细胞死亡。在这里,我们研究了 NLRP3 炎性体的影响及其抑制剂 MCC950 在胰岛移植啮齿动物模型中的作用。我们评估了 MCC950(NLRP3 炎性体的特异性抑制剂)对基因表达、胰岛存活率和活力以及小鼠胰岛移植的治疗效果。在受到促炎细胞因子刺激的胰岛中,NLRP3 炎性体相关基因(Nlrp3 和 Il1b)的表达上调,而在用 MCC950 孵育时则受到抑制。细胞因子刺激降低了孵育胰岛的存活率和活力,而 MCC950 则改善了这一情况。关于胰岛移植,MCC950 可减少移植胰岛中的凋亡细胞数量。此外,MCC950 还抑制了移植胰岛中 IL-1β的表达、胰岛周围巨噬细胞的迁移以及血糖水平的波动。我们的研究表明,NLRP3 炎性体恶化了胰岛移植的治疗效果,而 MCC950 的给药通过抑制炎症来改善同基因小鼠的血糖控制,从而抑制胰岛死亡。

https://cdn.ncbi.nlm.nih.gov/pmc/blobs/5bdf/7578017/569289d801a9/41598_2020_74786_Fig1_HTML.jpg

文献AI研究员

20分钟写一篇综述,助力文献阅读效率提升50倍。

立即体验

用中文搜PubMed

大模型驱动的PubMed中文搜索引擎

马上搜索

文档翻译

学术文献翻译模型,支持多种主流文档格式。

立即体验