Suppr超能文献

迪戈斯病:一例病例报告及文献综述

Degos disease: a case report and review of the literature.

作者信息

Tummidi Santosh, Nagendran Prabhakaran, Gedela Swaroopa, Ramani Jami Rupa, Shankaralingappa Arundhathi

机构信息

Department of Pathology, All India Institute of Medical Sciences, Mangalagiri, Andhra Pradesh, India.

Department of Dermatology, All India Institute of Medical Sciences, Mangalagiri, Andhra Pradesh, India.

出版信息

J Med Case Rep. 2020 Oct 29;14(1):204. doi: 10.1186/s13256-020-02514-6.

Abstract

BACKGROUND

Degos disease is a very rare syndrome with multisystem vasculopathy of unknown cause. It can affect the skin, gastrointestinal tract, and central nervous system. However, other organs such as the kidney, lungs, pleura, and liver can also be involved.

CASE PRESENTATION

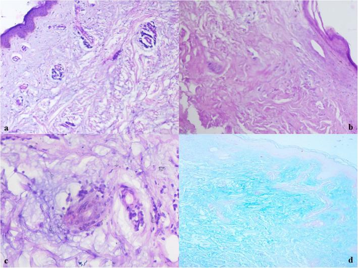
A 35-year-old Hindu woman presented to our dermatology outpatient department with complaints of depigmented painful lesions. A skin punch biopsy taken from the porcelain white atrophic papules which revealed features of Degos disease.

CONCLUSION

The diagnosis of Degos disease is usually based on the presence of the pathognomonic skin lesions and a tissue biopsy demonstrating a wedge-shaped area of necrosis with thrombotic occlusion of the small arterioles. No specific treatment is currently available for this disease.

摘要

背景

德戈斯病是一种非常罕见的综合征,病因不明,具有多系统血管病变。它可累及皮肤、胃肠道和中枢神经系统。然而,肾脏、肺、胸膜和肝脏等其他器官也可能受累。

病例报告

一名35岁的印度教女性因色素脱失性疼痛性皮损前来我院皮肤科门诊就诊。从瓷白色萎缩性丘疹处取皮肤打孔活检,结果显示为德戈斯病的特征。

结论

德戈斯病的诊断通常基于特征性皮肤损害的存在以及组织活检显示的小动脉血栓性闭塞导致的楔形坏死区域。目前尚无针对该疾病的特效治疗方法。

https://cdn.ncbi.nlm.nih.gov/pmc/blobs/09c3/7594340/a91184a03527/13256_2020_2514_Fig1_HTML.jpg

文献AI研究员

20分钟写一篇综述,助力文献阅读效率提升50倍。

立即体验

用中文搜PubMed

大模型驱动的PubMed中文搜索引擎

马上搜索

文档翻译

学术文献翻译模型,支持多种主流文档格式。

立即体验