Suppr超能文献

经右胸小切口切除罕见的多发主动脉瓣纤维弹性瘤。

Removal of unusual multiple aortic valve fibroelastoma using right mini-thoracotomy.

作者信息

Tamim Muhammed, Sadek Marwan, Al-Faraidy Khaled, Al-Hassan Donya

机构信息

Department of Cardiac Surgery, King Fahd Military Medical Complex, Dhahran, Saudi Arabia.

Department of Cardiology, King Fahd Military Medical Complex, Dhahran, Saudi Arabia.

出版信息

J Saudi Heart Assoc. 2020 Mar 8;32(2):200-203. doi: 10.37616/2212-5043.21. eCollection 2020.

Abstract

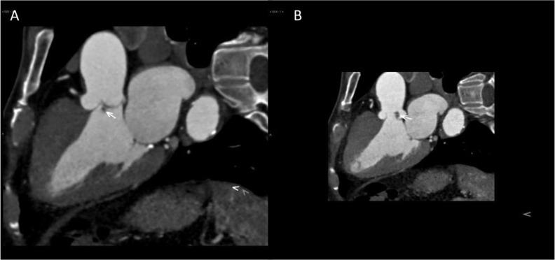
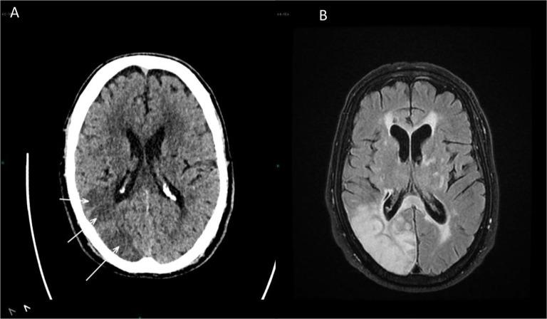
Papillary Fibroelastomas are rare, primary cardiac tumors. They are typically diagnosed as an incidental finding but can also present as thrombo-embolic events. We present the case of 78-years- old man who presented to emergency room with a cerebrovascular event (CVE). Transesophageal echocardiography (TEE) revealed e presence of a mass on the aortic valve. Intra-operatively, two masses where found: one was highly mobile attached to left ventricular (LV) side of the left coronary cusp, another small size mass attached to the non-coronary cusp, and there was suspicion of a mass attached to the mitral valve. The two masses were surgically excised using a right mini-thoracotomy, and histopathological examination confirmed the diagnosis."

摘要

乳头状纤维弹性瘤是罕见的原发性心脏肿瘤。它们通常是在偶然检查中被诊断出来,但也可能表现为血栓栓塞事件。我们报告一例78岁男性患者,因脑血管事件(CVE)就诊于急诊室。经食管超声心动图(TEE)显示主动脉瓣上有一个肿块。术中发现两个肿块:一个高度活动,附着于左冠状动脉瓣叶的左心室(LV)侧,另一个小肿块附着于无冠状动脉瓣叶,并且怀疑有一个肿块附着于二尖瓣。通过右胸小切口手术切除了这两个肿块,组织病理学检查确诊。

https://cdn.ncbi.nlm.nih.gov/pmc/blobs/8190/7640558/dd01633538bc/sha-32-02-200f1.jpg

文献AI研究员

20分钟写一篇综述,助力文献阅读效率提升50倍。

立即体验

用中文搜PubMed

大模型驱动的PubMed中文搜索引擎

马上搜索

文档翻译

学术文献翻译模型,支持多种主流文档格式。

立即体验