Suppr超能文献

实验性黄热病病毒感染松鼠猴(Saimiri spp.)I:剖检时各器官大体解剖学和组织病理学发现。

Experimental yellow fever virus infection in the squirrel monkey (Saimiri spp.) I: gross anatomical and histopathological findings in organs at necropsy.

机构信息

Instituto Evandro Chagas, Seção de Arbovirologia e Febres Hemorrágicas, Ananindeua, PA, Brasil.

Universidade Federal do Pará, Programa de Pós-Graduação em Biologia de Agentes Infecciosos e Parasitários, Belém, PA, Brasil.

出版信息

Mem Inst Oswaldo Cruz. 2020 Nov 9;115:e190501. doi: 10.1590/0074-02760190501. eCollection 2020.

Abstract

BACKGROUND

Non-human primates contribute to the spread of the yellow fever virus (YFV) and the establishment of transmission cycles in endemic areas.

OBJECTIVE

To describe the severe histopathological aspects of YFV infection, 10 squirrel monkeys were infected with YFV and blood, brain, liver, kidney, spleen, heart, lung, lymph node and stomach were collected at 1-7, 10, 20 and 30 days post-infection (dpi).

METHODS

Histopathological analysis and detection of the genome and viral antigens and neutralising antibodies were performed by RT-PCR, immunohistochemistry and neutralisation test, respectively.

FINDINGS

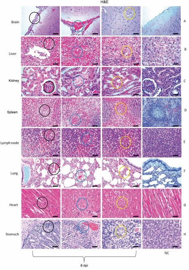
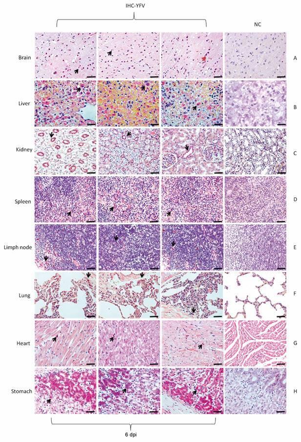
Only one animal died from the experimental infection. The genome and viral antigens were detected in all investigated organs (1-30 dpi) and the neutralising antibodies from seven to 30 dpi. The brain contained perivascular haemorrhage (6 dpi); in the liver, midzonal haemorrhage and lytic necrosis (6 dpi) were observed. The kidney had bleeding in the Bowman's capsule and tubular necrosis (6 dpi). Pyknotic lymphocytes were observed in the spleen (1-20 dpi), the lung had haemorrhage (2-6 dpi), in the endocardium it contained nuclear pyknosis and necrosis (2-3 dpi) and the stomach contained blood in the lumen (6 dpi).

MAIN FINDINGS

Squirrel monkeys reliably reproduced the responses observed in human cases of yellow fever and, therefore, constitute an excellent experimental model for studies on the pathophysiology of the disease.

摘要

背景

非人类灵长类动物有助于黄热病病毒(YFV)的传播,并在流行地区建立传播循环。

目的

描述 YFV 感染的严重组织病理学特征,将 10 只松鼠猴感染 YFV,分别在感染后 1-7、10、20 和 30 天采集血液、大脑、肝脏、肾脏、脾脏、心脏、肺、淋巴结和胃。

方法

通过 RT-PCR、免疫组织化学和中和试验分别进行组织病理学分析以及基因组和病毒抗原及中和抗体的检测。

结果

只有一只动物死于实验感染。在所有调查的器官(1-30dpi)中均检测到基因组和病毒抗原,并且从 7 天到 30dpi 检测到中和抗体。大脑中存在血管周围出血(6dpi);在肝脏中,观察到中带出血和溶解坏死(6dpi)。肾脏中可见鲍曼氏囊出血和肾小管坏死(6dpi)。脾脏中观察到固缩淋巴细胞(1-20dpi),肺中有出血(2-6dpi),心内膜中存在核固缩和坏死(2-3dpi),胃腔中可见血液(6dpi)。

主要发现

松鼠猴可靠地复制了人类黄热病病例中观察到的反应,因此是研究疾病病理生理学的理想实验模型。

https://cdn.ncbi.nlm.nih.gov/pmc/blobs/a9bc/7651848/00d3236584bb/1678-8060-mioc-115-e190501-gf1.jpg

文献AI研究员

20分钟写一篇综述,助力文献阅读效率提升50倍。

立即体验

用中文搜PubMed

大模型驱动的PubMed中文搜索引擎

马上搜索

文档翻译

学术文献翻译模型,支持多种主流文档格式。

立即体验