Suppr超能文献

嗜酸性肉芽肿性多血管炎(EGPA)缓解期伴新发神经病变:1例罕见的霉酚酸酯诱发的原发性中枢神经系统淋巴增殖性疾病病例

Eosinophilic granulomatosis with polyangiitis (EGPA) on remission with a new neuropathy: a rare case of mycophenolate induced primary CNS lymphoproliferative disease.

作者信息

Shrestha Pragya, Garrahy Ian, Rahimian Shoja

机构信息

Internal Medicine Department, Reading Hospital - Tower Health System, Reading, PA, USA.

Precision Population Science Lab, Department of Internal Medicine and Pediatrics, Mayo Clinic, Rochester, MN, USA.

出版信息

J Community Hosp Intern Med Perspect. 2020 Oct 29;10(6):600-603. doi: 10.1080/20009666.2020.1811066.

Abstract

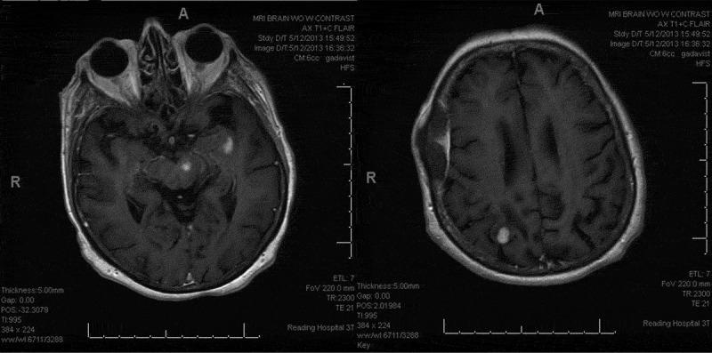
Introduction Mycophenolate Mofetil (MMF), although a widely used immunosuppressant; an increasing concern of MMF induced Primary Central Nervous System Lymphoma (PCNSL) are being reported. Timely diagnosis and management of MMF induced PCNSL can play a vital role in improved outcomes. Case Presentation Eighty-one-year-old female with history of Eosinophilic Granulomatosis with Polyangiitis (EGPA) presented with word finding difficulty, right-hand weakness and right foot clumsiness. EGPA had been stable with MMF for 6 years. Physical examination revealed weakened right-hand grip, positive right-sided dysdiadokokinesia and right foot drop. MRI-brain identified three enhancing solid lesions - in right parietal, left insular and left mid brain extending into the left thalamus. Brain biopsy revealed a focally dense lymphoid infiltrate with CD20 positive B cells, with large atypical cells resembling Hodgkin Reed-Sternberg cells. With concern for immunosuppression related PCNSL, MMF was stopped. Patient was treated with 8 weeks of rituximab therapy for its least toxic profile and concomitant benefit in EGPA. On a 2 month follow up MRI-brain, near total resolution of the intracranial lesion was observed. Patient still had some residual right lower extremity incoordination, however, strength and speech normalized with resolution of dysdiadokokinesia. Patient was advised to discontinue MMF indefinitely and remains on low dose prednisone daily. Conclusion MMF is an inhibitor of Inosine Monophosphate Dehydrogenase which prevents T- and B-cell proliferation. PCNSL is a potential complication of chronic immunosuppression with this medication. Discontinuation of the drug along with immunosuppressive therapies have been the effective therapeutic options till date.

摘要

引言 霉酚酸酯(MMF)虽是一种广泛使用的免疫抑制剂,但关于MMF诱发原发性中枢神经系统淋巴瘤(PCNSL)的报道日益增多。及时诊断和处理MMF诱发的PCNSL对改善预后起着至关重要的作用。病例报告 一名81岁女性,有嗜酸性肉芽肿性多血管炎(EGPA)病史,出现找词困难、右手无力和右脚笨拙。EGPA在使用MMF治疗6年期间病情稳定。体格检查发现右手握力减弱、右侧轮替运动障碍阳性和右脚下垂。脑部MRI检查发现右侧顶叶、左侧岛叶和左侧中脑有三个强化实性病变,并延伸至左侧丘脑。脑活检显示有局灶性密集的淋巴细胞浸润,CD20阳性B细胞,并有类似霍奇金里德-施特恩贝格细胞的大的非典型细胞。鉴于担心与免疫抑制相关的PCNSL,停用了MMF。患者接受了8周的利妥昔单抗治疗,因其毒性最小且对EGPA有协同益处。在2个月后的脑部MRI随访中,观察到颅内病变几乎完全消退。患者仍有一些右下肢共济失调的残留症状,然而,随着轮替运动障碍的消退,肌力和言语功能恢复正常。建议患者无限期停用MMF,并继续每日服用低剂量泼尼松。结论 MMF是肌苷单磷酸脱氢酶的抑制剂,可阻止T细胞和B细胞增殖。PCNSL是这种药物慢性免疫抑制的潜在并发症。迄今为止,停用该药物并结合免疫抑制治疗一直是有效的治疗选择。

https://cdn.ncbi.nlm.nih.gov/pmc/blobs/88c6/7643737/4c2ee1889871/ZJCH_A_1811066_F0001_B.jpg

文献AI研究员

20分钟写一篇综述,助力文献阅读效率提升50倍。

立即体验

用中文搜PubMed

大模型驱动的PubMed中文搜索引擎

马上搜索

文档翻译

学术文献翻译模型,支持多种主流文档格式。

立即体验